• Tel: 858.663.9055
  • SeparatorEmail: info@nsjbio.com
  • Tel: 858.663.9055
  • Email: info@nsjbio.com
Home >> Antibodies >> LAG3 Antibody / Lymphocyte activation gene 3 / CD223

LAG3 Antibody / Lymphocyte activation gene 3 / CD223 [clone LAG3/3261] (V7923)

  Catalog No Formulation Size Price (USD)  
Image V7923-100UG 0.2 mg/ml in 1X PBS with 0.1 mg/ml BSA (US sourced) and 0.05% sodium azide 100 ug 539
Image
V7923-20UG 0.2 mg/ml in 1X PBS with 0.1 mg/ml BSA (US sourced) and 0.05% sodium azide 20 ug 249
Image
V7923SAF-100UG 1 mg/ml in 1X PBS; BSA free, sodium azide free 100 ug 539
Microvalidated
Bulk quote request
Analysis of HuProt(TM) microarray containing more than 19,000 full-length human proteins using LAG3 antibody (clone LAG3/3261). These results demonstrate the foremost specificity of the LAG3/3261 mAb. Z- and S- score: The Z-score represents the strength of a signal that an antibody (in combination with a fluorescently-tagged anti-IgG secondary Ab) produces when binding to a particular protein on the HuProt(TM) array. Z-scores are described in units of standard deviations (SD's) above the mean value of all signals generated on that array. If the targets on the HuProt(TM) are arranged in descending order of the Z-score, the S-score is the difference (also in units of SD's) between the Z-scores. The S-score therefore represents the relative target specificity of an Ab to its intended target.
SDS-PAGE analysis of purified, BSA-free LAG3 antibody as confirmation of integrity and purity.
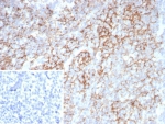
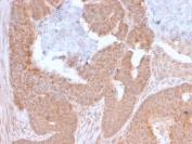
IHC staining of FFPE human colon carcinoma with LAG3 antibody (clone LAG3/3261). HIER: boil tissue sections in pH 9 10mM Tris with 1mM EDTA for 20 min and allow to cool before testing.
Availability 1-3 business days
Species Reactivity Human
Format Purified
Clonality Monoclonal (mouse origin)
Isotype Mouse IgG2a, kappa
Clone Name LAG3/3261
Purity Protein G affinity chromatography
UniProt P18627
Applications ELISA (order BSA-free Format For Coating) :
Immunohistochemistry (FFPE) : 1-2ug/ml
Limitations This LAG3 antibody is available for research use only.
Review this product on BioCompare and get a $20 Amazon gift card

Related Products

Description

LAG-3 (also called CD223) is a high affinity MHC class II ligand present on the surface of CD4+CD8+ T cells and NK cell, with shared homology in structure to CD4 molecules. It has a glutamic acid-proline (EP) repetitive sequence found in other functionally distinct mammalian, parasitic, and bacterial proteins that may influence a conserved biological function. LAG-3+CD4+CD8+ T cells can associate with the T cell receptor (TCR) and downregulate TCR signaling in vitro. LAG-3 inhibits CD4-dependent T cell function via its cytoplasmic domain. LAG-3 Lys-468 within a conserved 'KIEELE' motif is essential for interaction with downstream signaling molecules. Furthermore, as a checkpoint inhibitor target, it may be superior to CTLA-4 and PD-1 since both antibodies only activate effector T-cells, whereas an antagonist LAG-3 antibody can both activate T effector cells (by downregulating the LAG-3 inhibiting signal into pre-activated LAG-3+ cells) and inhibit induced (i.e. antigen-specific) Treg suppressive activity.

Application Notes

Optimal dilution of the LAG3 antibody should be determined by the researcher.

Immunogen

A recombinant full-length human LAG3 protein was used as the immunogen for this LAG3 antibody.

Storage

Store the LAG3 antibody at 2-8oC (with azide) or aliquot and store at -20oC or colder (without azide).

Cross
Bulk Quote Request Form
Name*:
Organization*:
Email*:
Phone Number*:
Catalog No.*:
Comments and Specifics(amount, formulation, etc.)*:
Validation code: Captchapackage Image


Can't read the image? click here to refresh.
    *required field

Your bulk quote request has been submitted successfully!

Please contact us if you have any questions.