• Tel: 858.663.9055
  • SeparatorEmail: info@nsjbio.com
  • Tel: 858.663.9055
  • Email: info@nsjbio.com
Home >> Antibodies >> LACTB Antibody / MRPL56

LACTB Antibody / MRPL56 (RQ6567)

  Catalog No Formulation Size Price (USD)  
Image RQ6567 0.5mg/ml if reconstituted with 0.2ml sterile DI water 100 ug 439
Bulk quote request
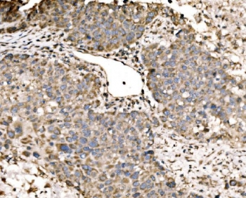
IHC staining of FFPE human liver cancer tissue with LACTB antibody. HIER: boil tissue sections in pH8 EDTA for 20 min and allow to cool before testing.
Immunofluorescent staining of FFPE human A431 cells with LACTB antibody (red) and DAPI nuclear stain (blue). HIER: steam section in pH6 citrate buffer for 20 min.
Western blot testing of human 1) HepG2, 2) HeLa, 3) RT4, 4) A431 and 5) U-2 OS cell lysate with LACTB antibody. Expected molecular weight: 54-60 kDa.
Flow cytometry testing of human Caco-2 cells with LACTB antibody at 1ug/million cells (blocked with goat sera); Red=cells alone, Green=isotype control, Blue= LACTB antibody.
Availability 1-3 business days
Species Reactivity Human
Format Antigen affinity purified
Clonality Polyclonal (rabbit origin)
Isotype Rabbit IgG
Purity Affinity purified
Buffer Lyophilized from 1X PBS with 2% Trehalose
UniProt P83111
Localization Cytoplasmic
Applications Western Blot : 1-2ug/ml
Immunohistochemistry (FFPE) : 2-5ug/ml
Immunofluorescence : 5ug/ml
Flow Cytometry : 1-3ug/million cells
Direct ELISA : 0.1-0.5ug/ml
Limitations This LACTB antibody is available for research use only.
Review this product on BioCompare and get a $20 Amazon gift card

Description

Serine beta-lactamase-like protein LACTB, mitochondrial is an enzyme that in humans is encoded by the LACTB gene. This gene encodes a mitochondrially-localized protein that has sequence similarity to prokaryotic beta-lactamases. Many of the residues responsible for beta-lactamase activity are not conserved in this protein, suggesting it may have a different enzymatic function. Increased expression of the related mouse gene was found to be associated with obesity. Alternative splicing results in multiple transcript variants encoding different protein isoforms.

Application Notes

Optimal dilution of the LACTB antibody should be determined by the researcher.

Immunogen

An E. coli-derived human protein (amino acids E141-K543) was used as the immunogen for the LACTB antibody.

Storage

After reconstitution, the LACTB antibody can be stored for up to one month at 4oC. For long-term, aliquot and store at -20oC. Avoid repeated freezing and thawing.

Cross
Bulk Quote Request Form
Name*:
Organization*:
Email*:
Phone Number*:
Catalog No.*:
Comments and Specifics(amount, formulation, etc.)*:
Validation code: Captchapackage Image


Can't read the image? click here to refresh.
    *required field

Your bulk quote request has been submitted successfully!

Please contact us if you have any questions.