• Tel: 858.663.9055
  • SeparatorEmail: info@nsjbio.com
  • Tel: 858.663.9055
  • Email: info@nsjbio.com
Home >> Antibodies >> L1TD1 Antibody / ECAT11

L1TD1 Antibody / ECAT11 [clone L1TD1/7941] (V4665)

  Catalog No Formulation Size Price (USD)  
Image V4665-100UG 0.2 mg/ml in 1X PBS with 0.1 mg/ml BSA (US sourced), 0.05% sodium azide 100 ug 539
Image
V4665-20UG 0.2 mg/ml in 1X PBS with 0.1 mg/ml BSA (US sourced), 0.05% sodium azide 20 ug 249
Image
V4665SAF-100UG 1 mg/ml in 1X PBS; BSA free, sodium azide free 100 ug 539
Bulk quote request
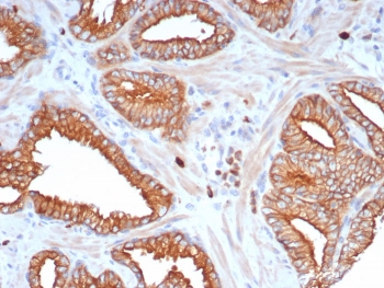
IHC staining of FFPE human prostate tissue with L1TD1 antibody (clone L1TD1/7941). HIER: boil tissue sections in pH 9 10mM Tris with 1mM EDTA for 20 min and allow to cool before testing.
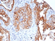
IHC staining of FFPE human lung tissue with L1TD1 antibody (clone L1TD1/7941). HIER: boil tissue sections in pH 9 10mM Tris with 1mM EDTA for 20 min and allow to cool before testing.
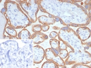
IHC staining of FFPE human placental tissue with L1TD1 antibody (clone L1TD1/7941). Inset: PBS used in place of primary Ab (secondary Ab negative control). HIER: boil tissue sections in pH 9 10mM Tris with 1mM EDTA for 20 min and allow to cool before testing.
SDS-PAGE analysis of purified, BSA-free L1TD1 antibody (clone L1TD1/7941) as confirmation of integrity and purity.
Availability 1-3 business days
Species Reactivity Human
Format Purified
Clonality Monoclonal (mouse origin)
Isotype Mouse IgG2, kappa
Clone Name L1TD1/7941
Purity Protein A/G affinity
UniProt Q5T7N2
Localization Cytoplasm, Secreted
Applications Immunohistochemistry (FFPE) : 1-2ug/ml for 30 min at RT
Limitations This L1TD1 antibody is available for research use only.
Review this product on BioCompare and get a $20 Amazon gift card

Related Products

  • Applications : WB, ELISA
    Reactivity : Human, Mouse, Rat

Description

L1TD1 (LINE-1 type transposase domain containing 1), also known as ECAT11 (ES cell-associated protein 11), is an 865 amino acid protein that belongs to the transposase 22 family and is encoded by a gene that maps to human chromosome 1p31.3. Chromosome 1 spans 260 million base pairs, contains over 3,000 genes and comprises nearly 8% of the human genome. Chromosome 1 houses a large number of disease-associated genes, including those that are involved in familial adenomatous polyposis, Stickler syndrome, Parkinson s disease, Gaucher disease, schizophrenia and Usher syndrome. Aberrations in chromosome 1 are found in a variety of cancers, including head and neck cancer, malignant melanoma and multiple myeloma.

Application Notes

Optimal dilution of the L1TD1 antibody should be determined by the researcher.

Immunogen

A recombinant fragment of human L1TD1 protein was used as the immunogen for the L1TD1 antibody.

Storage

Aliquot the L1TD1 antibody and store frozen at -20oC or colder. Avoid repeated freeze-thaw cycles.

Cross
Bulk Quote Request Form
Name*:
Organization*:
Email*:
Phone Number*:
Catalog No.*:
Comments and Specifics(amount, formulation, etc.)*:
Validation code: Captchapackage Image


Can't read the image? click here to refresh.
    *required field

Your bulk quote request has been submitted successfully!

Please contact us if you have any questions.