• Tel: 858.663.9055
  • SeparatorEmail: info@nsjbio.com
  • Tel: 858.663.9055
  • Email: info@nsjbio.com
Home >> Antibodies >> Kv2.1 Antibody

Kv2.1 Antibody (R31536)

  Catalog No Formulation Size Price (USD)  
Image R31536 0.5mg/ml if reconstituted with 0.2ml sterile DI water 100 ug 439
Bulk quote request
Western blot testing of Kv2.1 antibody and Lane 1: rat brain; 2: mouse brain. Predicted molecular weight ~96 kDa.
Western blot testing testing of 1) rat brain and 2) mouse brain tissue lysate with Kv2.1 antibody. Predicted molecular weight ~96 kDa.
IHC-P: Kv2.1 antibody testing of human lung cancer tissue
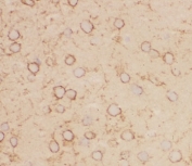
IHC-P: Kv2.1 antibody testing of mouse brain tissue
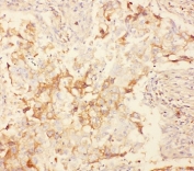
IHC-P staining of rat brain tissue
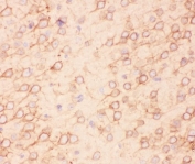
IHC-F staining of rat brain tissue
IHC-F staining of mouse brain tissue
Availability 1-3 business days
Species Reactivity Human, Mouse, Rat
Format Antigen affinity purified
Clonality Polyclonal (rabbit origin)
Isotype Rabbit IgG
Purity Antigen affinity
Buffer Lyophilized from 1X PBS with 2.5% BSA and 0.025% sodium azide
Gene ID 3745
Localization Cell membrane
Applications Western Blot : 0.5-1ug/ml
Immunohistochemistry (FFPE) : 0.5-1ug/ml
Immunohistochemistry (Frozen) : 0.5-1ug/ml
Limitations This Kv2.1 antibody is available for research use only.
Review this product on BioCompare and get a $20 Amazon gift card

Description

Kv2.1 also called DRK1, is a protein that in humans is encoded by the KCNB1 gene. KCNB1 is found in cardiomyocytes, skeletal muscles, vascular smooth muscles, placental vasculature, retina, and pancreatic beta-cells. It can mediates the voltage-dependent potassium ion permeability of excitable membranes. KCNB1 represent the most complex class of voltage-gated ion channels from both functional and structural standpoints. Their diverse functions include regulating neurotransmitter release, heart rate, insulin secretion, neuronal excitability, epithelial electrolyte transport, smooth muscle contraction, and cell volume.

Application Notes

The stated application concentrations are suggested starting amounts. Titration of the Kv2.1 antibody may be required due to differences in protocols and secondary/substrate sensitivity.

Immunogen

Human partial recombinant protein (AA 687-858) was used as the immunogen for this Kv2.1 antibody.

Storage

After reconstitution, the Kv2.1 antibody can be stored for up to one month at 4oC. For long-term, aliquot and store at -20oC. Avoid repeated freezing and thawing.

Cross
Bulk Quote Request Form
Name*:
Organization*:
Email*:
Phone Number*:
Catalog No.*:
Comments and Specifics(amount, formulation, etc.)*:
Validation code: Captchapackage Image


Can't read the image? click here to refresh.
    *required field

Your bulk quote request has been submitted successfully!

Please contact us if you have any questions.