• Tel: 858.663.9055
  • SeparatorEmail: info@nsjbio.com
  • Tel: 858.663.9055
  • Email: info@nsjbio.com
Home >> Antibodies >> Krueppel-like factor 5 Antibody / KLF5

Krueppel-like factor 5 Antibody / KLF5 (F54921)

  Catalog No Formulation Size Price (USD)  
Image F54921-0.4ML In 1X PBS, pH 7.4, with 0.09% sodium azide 0.4 ml 429
Image
F54921-0.08ML In 1X PBS, pH 7.4, with 0.09% sodium azide 0.08 ml 199
Bulk quote request
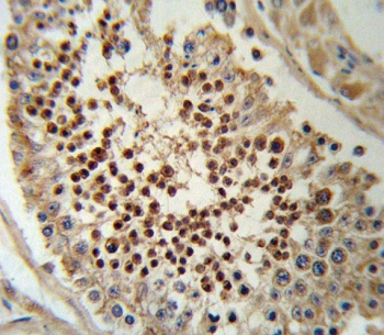
IHC testing of FFPE human testis tissue with Krueppel-like factor 5 antibody. HIER: steam section in pH6 citrate buffer for 20 min and allow to cool prior to staining.
Immunofluorescent staining of fixed and permeabilized human U-251 cells with Krueppel-like factor 5 antibody (green), DAPI nuclear stain (blue) and anti-Actin (red).
Western blot testing of human CCRF-CEM cell lysate with Krueppel-like factor 5 antibody. Predicted molecular weight: 34-51 kDa (multiple isoforms).
Flow cytometry testing of human HeLa cells with Krueppel-like factor 5 antibody; Blue=isotype control, Green= Krueppel-like factor 5 antibody.
Availability 1-3 business days
Species Reactivity Human
Format Purified
Clonality Polyclonal (rabbit origin)
Isotype Rabbit Ig
Purity Purified
UniProt Q13887
Localization Nuclear
Applications Western Blot : 1:500-1:1000
Immunofluorescence : 1:10-1:50
Flow Cytometry : 1:10-1:50 (1x10e6 cells)
Immunohistochemistry (FFPE) : 1:10-1:50
Limitations This Krueppel-like factor 5 antibody is available for research use only.
Review this product on BioCompare and get a $20 Amazon gift card

Related Products

  • Applications : WB
    Reactivity : Human

Description

KLF5 is a member of the Kruppel-like factor subfamily of zinc finger proteins. Since the protein localizes to the nucleus and binds the epidermal growth factor response element, the protein is thought to be a transcription factor.

Application Notes

The stated application concentrations are suggested starting points. Titration of the Krueppel-like factor 5 antibody may be required due to differences in protocols and secondary/substrate sensitivity.

Immunogen

A portion of amino acids 341-370 from the human protein was used as the immunogen for the Krueppel-like factor 5 antibody.

Storage

Aliquot the Krueppel-like factor 5 antibody and store frozen at -20oC or colder. Avoid repeated freeze-thaw cycles.

Cross
Bulk Quote Request Form
Name*:
Organization*:
Email*:
Phone Number*:
Catalog No.*:
Comments and Specifics(amount, formulation, etc.)*:
Validation code: Captchapackage Image


Can't read the image? click here to refresh.
    *required field

Your bulk quote request has been submitted successfully!

Please contact us if you have any questions.