• Tel: 858.663.9055
  • SeparatorEmail: info@nsjbio.com
  • Tel: 858.663.9055
  • Email: info@nsjbio.com
Home >> Antibodies >> KPNB1 Antibody / Importin subunit beta 1

KPNB1 Antibody / Importin subunit beta 1 [clone 3I11F2] (RQ7125)

  Catalog No Formulation Size Price (USD)  
Image RQ7125 0.5mg/ml if reconstituted with 0.2ml sterile DI water 100 ug 439
Bulk quote request
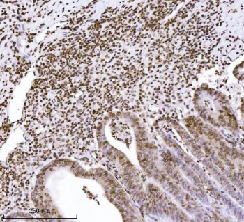
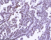
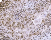
IHC staining of FFPE human colorectal adenocarcinoma tissue with KPNB1 antibody. HIER: boil tissue sections in pH8 EDTA for 20 min and allow to cool before testing.
IHC staining of FFPE human breast cancer tissue with KPNB1 antibody. HIER: boil tissue sections in pH8 EDTA for 20 min and allow to cool before testing.
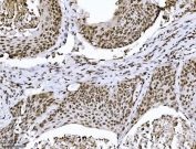
IHC staining of FFPE human squamous cell lung carcinoma tissue with KPNB1 antibody. HIER: boil tissue sections in pH8 EDTA for 20 min and allow to cool before testing.
IHC staining of FFPE human thyroiditis tissue with KPNB1 antibody. HIER: boil tissue sections in pH8 EDTA for 20 min and allow to cool before testing.
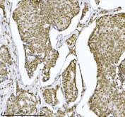
IHC staining of FFPE human renal carcinoma tissue with KPNB1 antibody. HIER: boil tissue sections in pH8 EDTA for 20 min and allow to cool before testing.
IHC staining of FFPE human laryngeal squamous cell carcinoma tissue with KPNB1 antibody. HIER: boil tissue sections in pH8 EDTA for 20 min and allow to cool before testing.
IHC staining of FFPE human ovary tissue with KPNB1 antibody. HIER: boil tissue sections in pH8 EDTA for 20 min and allow to cool before testing.
IHC staining of FFPE human placental tissue with KPNB1 antibody. HIER: boil tissue sections in pH8 EDTA for 20 min and allow to cool before testing.
IHC staining of FFPE human spleen tissue with KPNB1 antibody. HIER: boil tissue sections in pH8 EDTA for 20 min and allow to cool before testing.
IHC staining of FFPE mouse lymph tissue with KPNB1 antibody. HIER: boil tissue sections in pH8 EDTA for 20 min and allow to cool before testing.
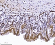
IHC staining of FFPE rat colon tissue with KPNB1 antibody. HIER: boil tissue sections in pH8 EDTA for 20 min and allow to cool before testing.
Immunofluorescent staining of FFPE human Caco-2 cells with KPNB1 antibody (red) and DAPI nuclear stain (blue). HIER: steam section in pH6 citrate buffer for 20 min.
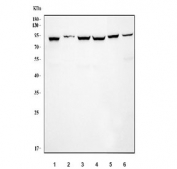
Western blot testing of 1) human Caco-2, 2) human K562, 3) A549, 4) A549, 5) mouse testis and 6) mouse lung tissue lysate with KPNB1 antibody. Predicted molecular weight: ~97 kDa.
Flow cytometry testing of human RT4 cells with KPNB1 antibody at 1ug/million cells (blocked with goat sera); Red=cells alone, Green=isotype control, Blue= KPNB1 antibody.
Western blot testing of 1) human Caco-2, 2) human K562, 3) human A549, 4) human 293T, 5) mouse NRK and 6) mouse NIH 3T3 cell lysate with KPNB1 antibody. Predicted molecular weight: ~97 kDa.
Availability 1-3 business days
Species Reactivity Human, Mouse, Rat
Format Antigen affinity purified
Clonality Monoclonal (mouse origin)
Isotype Mouse IgG2b
Clone Name 3I11F2
Purity Antigen affinity purified
Buffer Lyophilized from 1X PBS with 2% Trehalose
UniProt Q14974
Localization Cytoplasmic, nuclear
Applications Western Blot : 0.5-1ug/ml
Immunohistochemistry (FFPE) : 2-5ug/ml
Immunofluorescence : 5ug/ml
Flow Cytometry : 1-3ug/million cells
Limitations This KPNB1 antibody is available for research use only.
Review this product on BioCompare and get a $20 Amazon gift card

Related Products

Description

Importin subunit beta-1 is a protein that in humans is encoded by the KPNB1 gene. Nucleocytoplasmic transport, a signal- and energy-dependent process, takes place through nuclear pore complexes embedded in the nuclear envelope. The import of proteins containing a nuclear localization signal (NLS) requires the NLS import receptor, a heterodimer of importin alpha and beta subunits also known as karyopherins. Importin alpha binds the NLS-containing cargo in the cytoplasm and importin beta docks the complex at the cytoplasmic side of the nuclear pore complex. In the presence of nucleoside triphosphates and the small GTP binding protein Ran, the complex moves into the nuclear pore complex and the importin subunits dissociate. Importin alpha enters the nucleoplasm with its passenger protein and importin beta remains at the pore. Interactions between importin beta and the FG repeats of nucleoporins are essential in translocation through the pore complex. The protein encoded by this gene is a member of the importin beta family. Two transcript variants encoding different isoforms have been found for this gene.

Application Notes

Optimal dilution of the KPNB1 antibody should be determined by the researcher.

Immunogen

Recombinant human protein (amino acids E8-A876) was used as the immunogen for the KPNB1 antibody.

Storage

After reconstitution, the KPNB1 antibody can be stored for up to one month at 4oC. For long-term, aliquot and store at -20oC. Avoid repeated freezing and thawing.

Cross
Bulk Quote Request Form
Name*:
Organization*:
Email*:
Phone Number*:
Catalog No.*:
Comments and Specifics(amount, formulation, etc.)*:
Validation code: Captchapackage Image


Can't read the image? click here to refresh.
    *required field

Your bulk quote request has been submitted successfully!

Please contact us if you have any questions.