• Tel: 858.663.9055
  • SeparatorEmail: info@nsjbio.com
  • Tel: 858.663.9055
  • Email: info@nsjbio.com
Home >> Antibodies >> KMO Antibody / Kynurenine 3 monooxygenase

KMO Antibody / Kynurenine 3 monooxygenase (RQ7184)

  Catalog No Formulation Size Price (USD)  
Image RQ7184 0.5mg/ml if reconstituted with 0.2ml sterile DI water 100 ug 439
Bulk quote request
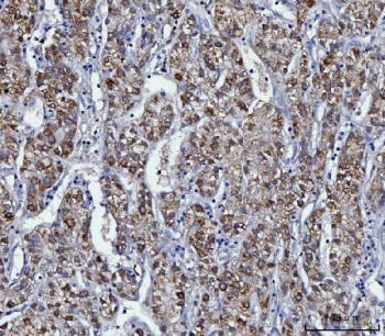
IHC staining of FFPE human liver cancer tissue with KMO antibody. HIER: boil tissue sections in pH8 EDTA for 20 min and allow to cool before testing.
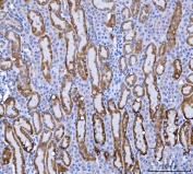
IHC staining of FFPE mouse kidney tissue with KMO antibody. HIER: boil tissue sections in pH8 EDTA for 20 min and allow to cool before testing.
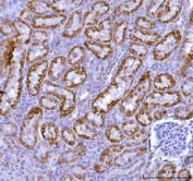
IHC staining of FFPE rat kidney tissue with KMO antibody. HIER: boil tissue sections in pH8 EDTA for 20 min and allow to cool before testing.
Western blot testing of 1) rat kidney, 2) rat liver, 3) mouse kidney and 4) mouse liver tissue lysate with KMO antibody. Predicted molecular weight: 52-56 kDa (multiple isoforms).
Flow cytometry testing of human Daudi cells with KMO antibody at 1ug/million cells (blocked with goat sera); Red=cells alone, Green=isotype control, Blue= KMO antibody.
Flow cytometry testing of mouse Neuro-2a cells with KMO antibody at 1ug/million cells (blocked with goat sera); Red=cells alone, Green=isotype control, Blue= KMO antibody.
Availability 1-3 business days
Species Reactivity Human, Mouse, Rat
Format Antigen affinity purified
Clonality Polyclonal (rabbit origin)
Isotype Rabbit IgG
Purity Antigen affinity purified
Buffer Lyophilized from 1X PBS with 2% Trehalose
UniProt O15229
Localization Cytoplasmic
Applications Western Blot : 0.5-1ug/ml
Immunohistochemistry (FFPE) : 2-5ug/ml
Flow Cytometry : 1-3ug/million cells
Direct ELISA : 0.1-0.5ug/ml
Limitations This KMO antibody is available for research use only.
Review this product on BioCompare and get a $20 Amazon gift card

Related Products

Description

Kynurenine 3-monooxygenase is an enzyme that in humans is encoded by the KMO gene. This gene encodes a mitochondrion outer membrane protein that catalyzes the hydroxylation of L-tryptophan metabolite, L-kynurenine, to form L-3-hydroxykynurenine. Studies in yeast identified this gene as a therapeutic target for Huntington disease.

Application Notes

Optimal dilution of the KMO antibody should be determined by the researcher.

Immunogen

Recombinant human protein (amino acids F26-N372) was used as the immunogen for the KMO antibody.

Storage

After reconstitution, the KMO antibody can be stored for up to one month at 4oC. For long-term, aliquot and store at -20oC. Avoid repeated freezing and thawing.

Cross
Bulk Quote Request Form
Name*:
Organization*:
Email*:
Phone Number*:
Catalog No.*:
Comments and Specifics(amount, formulation, etc.)*:
Validation code: Captchapackage Image


Can't read the image? click here to refresh.
    *required field

Your bulk quote request has been submitted successfully!

Please contact us if you have any questions.