• Tel: 858.663.9055
  • SeparatorEmail: info@nsjbio.com
  • Tel: 858.663.9055
  • Email: info@nsjbio.com
Home >> Antibodies >> KIT Antibody

KIT Antibody (R34610)

  Catalog No Formulation Size Price (USD)  
Image R34610-100UG 0.5 mg/ml in 1X TBS, pH7.3, with 0.5% BSA (US sourced) and 0.02% sodium azide 100 ug 449
Bulk quote request
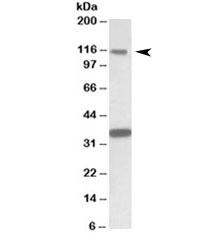
Western blot testing of human hippocampus lysate with KIT antibody at 1ug/ml. Observed molecular weight: ~120/145kDa (precusor/mature). Both observed bands are blocked by the immunizing peptide.
Availability 1-3 business days
Species Reactivity Human
Predicted Reactivity Cow, Dog, Pig
Format Antigen affinity purified
Clonality Polyclonal (goat origin)
Isotype Goat Ig
Purity Antigen affinity
Gene ID 3815
Applications Western Blot : 1-3ug/ml
ELISA (peptide) LOD : 1:128000
Limitations This KIT antibody is available for research use only.
Review this product on BioCompare and get a $20 Amazon gift card

Related Products

Description

Additional name(s) for this target protein: CD117

Application Notes

Optimal dilution of the KIT antibody should be determined by the researcher.

Immunogen

Amino acids KRDSFICSKQEDH were used as the immunogen for this KIT antibody.

Storage

Aliquot and store the KIT antibody at -20oC.

Cross
Bulk Quote Request Form
Name*:
Organization*:
Email*:
Phone Number*:
Catalog No.*:
Comments and Specifics(amount, formulation, etc.)*:
Validation code: Captchapackage Image


Can't read the image? click here to refresh.
    *required field

Your bulk quote request has been submitted successfully!

Please contact us if you have any questions.