• Tel: 858.663.9055
  • SeparatorEmail: info@nsjbio.com
  • Tel: 858.663.9055
  • Email: info@nsjbio.com
Home >> Antibodies >> KiSS-1 Antibody / KISS1

KiSS-1 Antibody / KISS1 (F54765)

  Catalog No Formulation Size Price (USD)  
Image F54765-0.4ML In 1X PBS, pH 7.4, with 0.09% sodium azide 0.4 ml 429
Image
F54765-0.08ML In 1X PBS, pH 7.4, with 0.09% sodium azide 0.08 ml 199
Bulk quote request
Western blot testing of human 1) HL60 and 2) Jurkat cell lysate with KiSS-1 antibody. Predicted molecular weight ~15 kDa, commonly observed at 15-20 kDa.
Western blot testing of human 1) placenta and 2) skeletal muscle tissue lysate with KiSS-1 antibody. Predicted molecular weight ~15 kDa, commonly observed at 15-20 kDa.
Western blot testing of human SW480 cell lysate with KiSS-1 antibody. Predicted molecular weight ~15 kDa, commonly observed at 15-20 kDa.
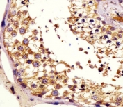
IHC testing of FFPE human testis tissue with KiSS-1 antibody. HIER: steam section in pH6 citrate buffer for 20 min and allow to cool prior to staining.
Availability 1-3 business days
Species Reactivity Human
Format Purified
Clonality Polyclonal (rabbit origin)
Isotype Rabbit Ig
Purity Antigen affinity purified
UniProt Q15726
Applications Western Blot : 1:500-1:2000
Immunohistochemistry (FFPE) : 1:25
Limitations This KiSS-1 antibody is available for research use only.
Review this product on BioCompare and get a $20 Amazon gift card

Description

Metastasis suppressor protein in malignant melanomas and in some breast cancers. May regulate events downstream of cell- matrix adhesion, perhaps involving cytoskeletal reorganization. Generates a C-terminally amidated peptide, metastin which functions as the endogenous ligand of the G-protein coupled receptor GPR54. Activation of the receptor inhibits cell proliferation and cell migration, key characteristics of tumor metastasis. Kp-10 is a decapeptide derived from the primary translation product, isolated in conditioned medium of first trimester trophoblast. Kp-10, but not other kisspeptins, increased intracellular Ca(2+) levels in isolated first trimester trophoblasts. Kp-10 is a paracrine/endocrine regulator in fine- tuning trophoblast invasion generated by the trophoblast itself. The receptor is also essential for normal gonadotropin-released hormone physiology and for puberty. The hypothalamic KiSS1/GPR54 system is a pivotal factor in central regulation of the gonadotropic axis at puberty and in adulthood.

Application Notes

The stated application concentrations are suggested starting points. Titration of the KiSS-1 antibody may be required due to differences in protocols and secondary/substrate sensitivity.

Immunogen

A portion of amino acids 20-52 from the human protein was used as the immunogen for the KiSS-1 antibody.

Storage

Aliquot the KiSS-1 antibody and store frozen at -20oC or colder. Avoid repeated freeze-thaw cycles.

Cross
Bulk Quote Request Form
Name*:
Organization*:
Email*:
Phone Number*:
Catalog No.*:
Comments and Specifics(amount, formulation, etc.)*:
Validation code: Captchapackage Image


Can't read the image? click here to refresh.
    *required field

Your bulk quote request has been submitted successfully!

Please contact us if you have any questions.