• Tel: 858.663.9055
  • SeparatorEmail: info@nsjbio.com
  • Tel: 858.663.9055
  • Email: info@nsjbio.com
Home >> Antibodies >> Kir6.2 Antibody

Kir6.2 Antibody (R33975)

  Catalog No Formulation Size Price (USD)  
Image R33975-100UG 0.5 mg/ml in 1X TBS, pH7.3, with 0.5% BSA (US sourced) and 0.02% sodium azide 100 ug 449
Bulk quote request
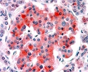
IHC staining of FFPE human pancreas with Kir6.2 antibody at 4ug/ml. HIER: steamed with pH6 citrate buffer, AP-staining.
Western blot testing of human muscle lysate with Kir6.2 antibody at 0.01ug/ml. Predicted molecular weight: ~44kDa.
Availability 1-3 business days
Species Reactivity Human
Predicted Reactivity Dog, Mouse, Rat
Format Antigen affinity purified
Clonality Polyclonal (goat origin)
Isotype Goat Ig
Purity Antigen affinity
Gene ID 3767
Applications Western Blot : 0.01-0.03ug/ml
Immunohistochemistry (FFPE) : 3-5ug/ml
ELISA (peptide) LOD : 1:64000
Limitations This Kir6.2 antibody is available for research use only.
Review this product on BioCompare and get a $20 Amazon gift card

Related Products

  • Applications : WB, IHC, ELISA (peptide)
    Reactivity : Human

Description

Additional name(s) for this target protein: Potassium inwardly-rectifying channel, subfamily J, member 11; Kcnj11

Application Notes

Optimal dilution of the Kir6.2 antibody should be determined by the researcher.

Immunogen

Amino acids ERRARFVSKKGNC were used as the immunogen for this Kir6.2 antibody.

Storage

Aliquot and store the Kir6.2 antibody at -20oC.

Cross
Bulk Quote Request Form
Name*:
Organization*:
Email*:
Phone Number*:
Catalog No.*:
Comments and Specifics(amount, formulation, etc.)*:
Validation code: Captchapackage Image


Can't read the image? click here to refresh.
    *required field

Your bulk quote request has been submitted successfully!

Please contact us if you have any questions.