• Tel: 858.663.9055
  • SeparatorEmail: info@nsjbio.com
  • Tel: 858.663.9055
  • Email: info@nsjbio.com
Home >> Antibodies >> Kinesin light chain 1 Antibody / KLC1

Kinesin light chain 1 Antibody / KLC1 (F54987)

  Catalog No Formulation Size Price (USD)  
Image F54987-0.4ML In 1X PBS, pH 7.4, with 0.09% sodium azide 0.4 ml 429
Image
F54987-0.08ML In 1X PBS, pH 7.4, with 0.09% sodium azide 0.08 ml 199
Bulk quote request
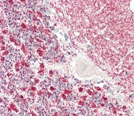
IHC testing of FFPE human cerebellum tissue with Kinesin light chain 1 antibody. HIER: steam section in pH6 citrate buffer for 20 min and allow to cool prior to staining.
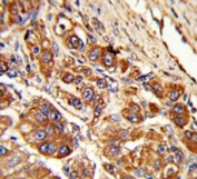
IHC testing of FFPE human hepatocellular carcinoma tissue with Kinesin light chain 1 antibody. HIER: steam section in pH6 citrate buffer for 20 min and allow to cool prior to staining.
Western blot testing of human HeLa cell lysate with Kinesin light chain 1 antibody. Predicted molecular weight ~65 kDa.
Flow cytometry testing of human WiDr cells with Kinesin light chain 1 antibody; Blue=isotype control, Green= Kinesin light chain 1 antibody.
Availability 1-3 business days
Species Reactivity Human
Format Purified
Clonality Polyclonal (rabbit origin)
Isotype Rabbit Ig
Purity Antigen affinity purified
UniProt Q07866
Localization Cytoplasmic
Applications Western Blot : 1:500-1:1000
Flow Cytometry : 1:10-1:50 (1x10e6 cells)
Immunohistochemistry (FFPE) : 1:50-1:100
Limitations This Kinesin light chain 1 antibody is available for research use only.
Review this product on BioCompare and get a $20 Amazon gift card

Related Products

Description

Kinesin is a microtubule-associated force-producing protein that may play a role in organelle transport. The light chain may function in coupling of cargo to the heavy chain or in the modulation of its ATPase activity.

Application Notes

The stated application concentrations are suggested starting points. Titration of the Kinesin light chain 1 antibody may be required due to differences in protocols and secondary/substrate sensitivity.

Immunogen

A portion of amino acids 389-415 from the human protein was used as the immunogen for the Kinesin light chain 1 antibody.

Storage

Aliquot the Kinesin light chain 1 antibody and store frozen at -20oC or colder. Avoid repeated freeze-thaw cycles.

Cross
Bulk Quote Request Form
Name*:
Organization*:
Email*:
Phone Number*:
Catalog No.*:
Comments and Specifics(amount, formulation, etc.)*:
Validation code: Captchapackage Image


Can't read the image? click here to refresh.
    *required field

Your bulk quote request has been submitted successfully!

Please contact us if you have any questions.