• Tel: 858.663.9055
  • SeparatorEmail: info@nsjbio.com
  • Tel: 858.663.9055
  • Email: info@nsjbio.com
Home >> Antibodies >> KIF2C Antibody / Kinesin family member 2C / MCAK

KIF2C Antibody / Kinesin family member 2C / MCAK [clone KIF2C/6519] (V4682)

  Catalog No Formulation Size Price (USD)  
Image V4682-100UG 0.2 mg/ml in 1X PBS with 0.1 mg/ml BSA (US sourced), 0.05% sodium azide 100 ug 539
Image
V4682-20UG 0.2 mg/ml in 1X PBS with 0.1 mg/ml BSA (US sourced), 0.05% sodium azide 20 ug 249
Image
V4682SAF-100UG 1 mg/ml in 1X PBS; BSA free, sodium azide free 100 ug 539
Microvalidated
Bulk quote request
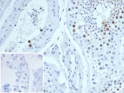
IHC staining of FFPE human testis tissue with KIF2C antibody (clone KIF2C/6519) at 2ug/ml. HIER: boil tissue sections in pH 9 10mM Tris with 1mM EDTA for 20 min and allow to cool before testing.
IHC staining of FFPE human testis tissue with KIF2C antibody (clone KIF2C/6519) at 2ug/ml. Inset: PBS used in place of primary Ab (secondary Ab negative control). HIER: boil tissue sections in pH 9 10mM Tris with 1mM EDTA for 20 min and allow to cool before testing.
SDS-PAGE analysis of purified, BSA-free KIF2C antibody (clone KIF2C/6519) as confirmation of integrity and purity.
Analysis of a HuProt(TM) microarray containing more than 19,000 full-length human proteins using KIF2C antibody (clone KIF2C/6519). Z- and S- Score: The Z-score represents the strength of a signal that a monoclonal antibody (in combination with a fluorescently-tagged anti-IgG secondary antibody) produces when binding to a particular protein on the HuProt(TM) array. Z-scores are described in units of standard deviations (SD's) above the mean value of all signals generated on that array. If targets on HuProt(TM) are arranged in descending order of the Z-score, the S-score is the difference (also in units of SD's) between the Z-score. S-score therefore represents the relative target specificity of a mAb to its intended target. A mAb is considered to specific to its intended target, if the mAb has an S-score of at least 2.5. For example, if a mAb binds to protein X with a Z-score of 43 and to protein Y with a Z-score of 14, then the S-score for the binding of that mAb to protein X is equal to 29.
Availability 1-3 business days
Species Reactivity Human
Format Purified
Clonality Monoclonal (mouse origin)
Isotype Mouse IgG2b, kappa
Clone Name KIF2C/6519
Purity Protein A/G affinity
UniProt Q99661
Localization Cytoplasm, Nucleus
Applications Immunohistochemistry (FFPE) : 1-2ug/ml for 30 min at RT
Limitations This KIF2C antibody is available for research use only.
Review this product on BioCompare and get a $20 Amazon gift card

Related Products

Description

Kinesin family member 2c (KIF2C), alternately known as mitotic centromere associated kinesin (MCAK), is a member of the kinesin-like family of proteins. KIF2C is a cytoplasmic and nuclear protein, present throughout the cell cycle. KIF2C associates with the centromere early in prophase, and disassociates after telophase. KIF2C is abundant in thymus and testis, and present at lower levels in small intestine, the mucosal lining of the colon, and placenta. Human KIF2C maps to chromosome 1p34.1.

Application Notes

Optimal dilution of the KIF2C antibody should be determined by the researcher.

Immunogen

A recombinant partial protein sequence (within amino acids 500-700) from the human protein was used as the immunogen for the KIF2C antibody.

Storage

Aliquot the KIF2C antibody and store frozen at -20oC or colder. Avoid repeated freeze-thaw cycles.

Cross
Bulk Quote Request Form
Name*:
Organization*:
Email*:
Phone Number*:
Catalog No.*:
Comments and Specifics(amount, formulation, etc.)*:
Validation code: Captchapackage Image


Can't read the image? click here to refresh.
    *required field

Your bulk quote request has been submitted successfully!

Please contact us if you have any questions.