• Tel: 858.663.9055
  • SeparatorEmail: info@nsjbio.com
  • Tel: 858.663.9055
  • Email: info@nsjbio.com
Home >> Antibodies >> KIF2A Antibody / Kinesin-like protein KIF2A

KIF2A Antibody / Kinesin-like protein KIF2A (RQ7980)

  Catalog No Formulation Size Price (USD)  
Image RQ7980 0.5mg/ml if reconstituted with 0.2ml sterile DI water 100 ug 439
Bulk quote request
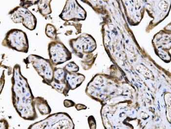
IHC staining of FFPE human placental tissue with KIF2A antibody. HIER: boil tissue sections in pH8 EDTA for 20 min and allow to cool before testing.
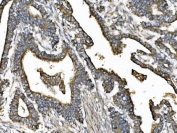
IHC staining of FFPE human lung cancer tissue with KIF2A antibody. HIER: boil tissue sections in pH8 EDTA for 20 min and allow to cool before testing.
IHC staining of FFPE human pancreatic cancer tissue with KIF2A antibody. HIER: boil tissue sections in pH8 EDTA for 20 min and allow to cool before testing.
Immunofluorescent staining of FFPE human SiHa cells with KIF2A antibody (green) and DAPI nuclear stain (blue). HIER: steam section in pH6 citrate buffer for 20 min.
Western blot testing of 1) human HeLa, 2) human HepG2, 3) monkey COS-7, 4) human K562, 5) rat NRK, 6) mouse lung and 7) mouse NIH 3T3 cell lysate with KIF2A antibody. Predicted molecular weight ~80 kDa, commonly observed at 80-110 kDa.
Flow cytometry testing of human K562 cells with KIF2A antibody at 1ug/million cells (blocked with goat sera); Red=cells alone, Green=isotype control, Blue= KIF2A antibody.
Availability 1-3 business days
Species Reactivity Human, Mouse, Rat, Monkey
Format Antigen affinity purified
Clonality Polyclonal (rabbit origin)
Isotype Rabbit IgG
Purity Antigen affinity purified
Buffer Lyophilized from 1X PBS with 2% Trehalose
UniProt O00139
Localization Cytoplasmic, nuclear
Applications Western Blot : 0.5-1ug/ml
Immunohistochemistry (FFPE) : 2-5ug/ml
Immunofluorescence : 5ug/ml
Flow Cytometry : 1-3ug/million cells
Direct ELISA : 0.1-0.5ug/ml
Limitations This KIF2A antibody is available for research use only.
Review this product on BioCompare and get a $20 Amazon gift card

Description

Kinesin-like protein KIF2A is a protein that in humans is encoded by the KIF2A gene. The protein encoded by this gene is a plus end-directed motor required for normal mitotic progression. The encoded protein is required for normal spindle activity during mitosis and is necessary for normal brain development. Several transcript variants encoding different isoforms have been found for this gene.

Application Notes

Optimal dilution of the KIF2A antibody should be determined by the researcher.

Immunogen

E. coli-derived recombinant human protein (amino acids A2-L706) was used as the immunogen for the KIF2A antibody.

Storage

After reconstitution, the KIF2A antibody can be stored for up to one month at 4oC. For long-term, aliquot and store at -20oC. Avoid repeated freezing and thawing.

Cross
Bulk Quote Request Form
Name*:
Organization*:
Email*:
Phone Number*:
Catalog No.*:
Comments and Specifics(amount, formulation, etc.)*:
Validation code: Captchapackage Image


Can't read the image? click here to refresh.
    *required field

Your bulk quote request has been submitted successfully!

Please contact us if you have any questions.