• Tel: 858.663.9055
  • SeparatorEmail: info@nsjbio.com
  • Tel: 858.663.9055
  • Email: info@nsjbio.com
Home >> Antibodies >> KIF11 Antibody / Eg5

KIF11 Antibody / Eg5 (F55018)

  Catalog No Formulation Size Price (USD)  
Image F55018-0.4ML In 1X PBS, pH 7.4, with 0.09% sodium azide 0.4 ml 429
Image
F55018-0.08ML In 1X PBS, pH 7.4, with 0.09% sodium azide 0.08 ml 199
Bulk quote request
Western blot testing of human A431 cell lysate with KIF11 antibody Predicted molecular weight ~119 kDa.
Western blot testing of (hamster) CHO cell lysate with KIF11 antibody Predicted molecular weight ~119 kDa.
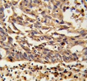
IHC testing of FFPE human lung carcinoma tissue with KIF11 antibody. HIER: steam section in pH6 citrate buffer for 20 min and allow to cool prior to staining.
Flow cytometry testing of human HeLa cells with KIF11 antibody; Blue=isotype control, Green= KIF11 antibody.
Availability 1-3 business days
Species Reactivity Human, Hamster
Format Purified
Clonality Polyclonal (rabbit origin)
Isotype Rabbit Ig
Purity Antigen affinity purified
UniProt P52732
Localization Cytoplasmic
Applications Flow Cytometry : 1:10-1:50 (1x10e6 cells)
Western Blot : 1:500-1:1000
Immunohistochemistry (FFPE) : 1:50-1:100
Limitations This KIF11 antibody is available for research use only.
Review this product on BioCompare and get a $20 Amazon gift card

Related Products

  • Applications : WB, IHC-P, IF, FACS, Direct ELISA
    Reactivity : Human

Description

KIF11 belongs to the kinesin-like protein family. Members of this protein family are known to be involved in various kinds of spindle dynamics. The function of this gene product includes chromosome positioning, centrosome separation and establishing a bipolar spindle during cell mitosis.

Application Notes

The stated application concentrations are suggested starting points. Titration of the KIF11 antibody may be required due to differences in protocols and secondary/substrate sensitivity.

Immunogen

A portion of amino acids 103-130 from the human protein was used as the immunogen for the KIF11 antibody.

Storage

Aliquot the KIF11 antibody and store frozen at -20oC or colder. Avoid repeated freeze-thaw cycles.

Cross
Bulk Quote Request Form
Name*:
Organization*:
Email*:
Phone Number*:
Catalog No.*:
Comments and Specifics(amount, formulation, etc.)*:
Validation code: Captchapackage Image


Can't read the image? click here to refresh.
    *required field

Your bulk quote request has been submitted successfully!

Please contact us if you have any questions.