• Tel: 858.663.9055
  • SeparatorEmail: info@nsjbio.com
  • Tel: 858.663.9055
  • Email: info@nsjbio.com
Home >> Antibodies >> Ki-67 Antibody / MKI67

Ki-67 Antibody / MKI67 [clone 31K02] (FY12964)

  Catalog No Formulation Size Price (USD)  
Image FY12964 Rabbit IgG in phosphate buffered saline, pH 7.4, 150mM NaCl, 0.02% sodium azide and 50% glycerol, 0.4-0.5mg/ml BSA 100 ul 439
Microvalidated Recrabbitmono
Bulk quote request
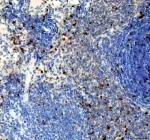
Immunohistochemical staining of Ki67/MKI67 using anti-Ki-67 antibody. Ki67/MKI67 was detected in a paraffin-embedded section of mouse spleen tissue. Heat mediated antigen retrieval was performed in EDTA buffer (pH 8.0, epitope retrieval solution). The tissue section was blocked with 10% goat serum. The tissue section was then incubated with 1:50 rabbit anti-Ki-67 antibody overnight at 4oC. Peroxidase Conjugated Goat Anti-rabbit IgG was used as secondary antibody and incubated for 30 minutes at 37oC. The tissue section was developed using an HRP secondary and DAB substrate.
Immunohistochemical staining of Ki67/MKI67 using anti-Ki-67 antibody. Ki67/MKI67 was detected in a paraffin-embedded section of human colon cancer tissue. Heat mediated antigen retrieval was performed in EDTA buffer (pH 8.0, epitope retrieval solution). The tissue section was blocked with 10% goat serum. The tissue section was then incubated with 1:50 rabbit anti-Ki-67 antibody overnight at 4oC. Peroxidase Conjugated Goat Anti-rabbit IgG was used as secondary antibody and incubated for 30 minutes at 37oC. The tissue section was developed using an HRP secondary and DAB substrate.
Immunohistochemical staining of Ki67/MKI67 using anti-Ki-67 antibody. Ki67/MKI67 was detected in a paraffin-embedded section of rat spleen tissue. Heat mediated antigen retrieval was performed in EDTA buffer (pH 8.0, epitope retrieval solution). The tissue section was blocked with 10% goat serum. The tissue section was then incubated with 1:50 rabbit anti-Ki-67 antibody overnight at 4oC. Peroxidase Conjugated Goat Anti-rabbit IgG was used as secondary antibody and incubated for 30 minutes at 37oC. The tissue section was developed using an HRP secondary and DAB substrate.
Immunofluorescent staining of Ki67/MKI67 using anti-Ki-67 antibody (green). Ki67/MKI67 was detected in a paraffin-embedded section of human intestine cancer tissue. Heat mediated antigen retrieval was performed in EDTA buffer (pH 8.0, epitope retrieval solution). The tissue section was blocked with 10% goat serum. The tissue section was then incubated at 1:50 rabbit anti-Ki-67 antibody overnight at 4oC. DyLight 488 Conjugated Goat Anti-Rabbit IgG was used as secondary antibody at 1:500 dilution and incubated for 30 minutes at 37oC. Visualize using a fluorescence microscope and filter sets appropriate for the label used.
Immunofluorescent staining of Ki67/MKI67 using anti-Ki-67 antibody (green). Ki67/MKI67 was detected in an immunocytochemical section of cells. Enzyme antigen retrieval was performed using IHC enzyme antigen retrieval reagent for 15 mins. The cells were blocked with 10% goat serum. And then incubated at 1:50 rabbit anti-Ki-67 antibody overnight at 4oC. DyLight488 Conjugated Goat Anti-Rabbit IgG was used as secondary antibody at 1:500 dilution and incubated for 30 minutes at 37oC. Visualize using a fluorescence microscope and filter sets appropriate for the label used.
Availability 2-3 weeks
Species Reactivity Human, Mouse, Rat
Format Liquid
Clonality Recombinant Rabbit Monoclonal
Isotype Rabbit IgG
Clone Name 31K02
Purity Affinity chromatography
Buffer Rabbit IgG in phosphate buffered saline, pH 7.4, 150mM NaCl, 0.02% sodium azide and 50% glycerol, 0.4-0.5mg/ml BSA.
UniProt P46013
Localization Nuclear
Applications Immunohistochemistry : 1:50-1:200
Immunofluorescence : 1:50-1:200
Immunocytochemistry/Immunofluorescence : 1:50-1:200
Limitations This Ki-67 antibody is available for research use only.
Review this product on BioCompare and get a $20 Amazon gift card

Related Products

Description

Ki-67 antibody detects the protein Ki-67, encoded by the MKI67 gene. Ki-67 is a nuclear protein expressed in proliferating cells and is one of the most widely used markers for cellular proliferation in research and clinical diagnostics. This protein is absent in resting cells (G0) but present during all active phases of the cell cycle, including G1, S, G2, and mitosis. Ki-67 antibody provides researchers with an essential tool to measure cell proliferation rates, assess tumor aggressiveness, and evaluate treatment responses in cancer studies. Its widespread use in histopathology reflects its reliability as a biomarker for growth activity.

Ki-67 is involved in ribosomal RNA transcription and organization of the nucleolus during interphase. During mitosis, it localizes to the perichromosomal layer, forming a structural scaffold that helps protect chromosomes and maintain proper segregation. Studies using Ki-67 antibody have revealed that depletion of this protein disrupts chromosomal condensation and segregation, underscoring its functional roles beyond serving as a proliferation marker. These insights have expanded its importance from being a passive marker of division to an active participant in cell cycle regulation.

In cancer biology, Ki-67 is one of the most important clinical biomarkers. Tumor samples are routinely stained with Ki-67 antibody to determine the proliferation index, which correlates with tumor grade, aggressiveness, and prognosis. High Ki-67 labeling indices are observed in fast-growing tumors such as breast, prostate, and brain cancers, and are associated with poor outcomes. Conversely, lower Ki-67 indices are linked to slower-growing neoplasms and better survival rates. Pathologists use Ki-67 antibody immunohistochemistry to quantify nuclear staining percentages in tumor biopsies, providing valuable prognostic information.

Beyond oncology, Ki-67 antibody is applied in regenerative biology and developmental studies. Since this protein marks actively dividing cells, it is used to track stem cell proliferation, tissue regeneration, and embryonic development. Immunofluorescence assays with Ki-67 antibody help identify proliferative niches in tissues such as bone marrow, gut, and brain. Flow cytometry can also measure Ki-67 expression at the single-cell level, making it useful in studies of immune activation, hematopoietic stem cell dynamics, and vaccine responses.

By supplying validated Ki-67 antibody reagents, NSJ Bioreagents enables researchers to study both the biological roles of this protein and its diagnostic utility. The ability to detect proliferating cells across experimental systems makes Ki-67 antibody indispensable in cancer research, clinical pathology, and developmental biology.

Application Notes

Optimal dilution of the Ki-67 antibody should be determined by the researcher.

Immunogen

Recombinant protein with human Ki67 (Position: K2860-I3256) was used as the immunogen for the Ki-67 antibody.

Storage

Store the Ki-67 antibody at -20oC.

Cross
Bulk Quote Request Form
Name*:
Organization*:
Email*:
Phone Number*:
Catalog No.*:
Comments and Specifics(amount, formulation, etc.)*:
Validation code: Captchapackage Image


Can't read the image? click here to refresh.
    *required field

Your bulk quote request has been submitted successfully!

Please contact us if you have any questions.