• Tel: 858.663.9055
  • SeparatorEmail: info@nsjbio.com
  • Tel: 858.663.9055
  • Email: info@nsjbio.com
Home >> Antibodies >> Keratin 7 Antibody

Keratin 7 Antibody [clone SPM270] (V2655)

  Catalog No Formulation Size Price (USD)  
Image V2655-100UG 0.2 mg/ml in 1X PBS with 0.1 mg/ml BSA (US sourced) and 0.05% sodium azide 100 ug 539
Image
V2655-20UG 0.2 mg/ml in 1X PBS with 0.1 mg/ml BSA (US sourced) and 0.05% sodium azide 20 ug 249
Image
V2655SAF-100UG 1 mg/ml in 1X PBS; BSA free, sodium azide free 100 ug 539
Image
V2655IHC-7ML Prediluted in 1X PBS with 0.1 mg/ml BSA (US sourced) and 0.05% sodium azide; *For IHC use only* 7 ml 539
Bulk quote request
Immunofluorescent staining of permeabilized human HeLa cells with Keratin 7 antibody (clone SPM270, green) and Reddot nuclear stain (red).
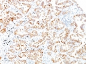
IHC: Formalin-fixed, paraffin-embedded human lung SCC stained with Keratin 7 antibody (clone SPM270).
Western blot testing of human HeLa cell lysate with Keratin 7 antibody. Predicted molecular weight ~51 kDa.
Flow cytometry testing of Me-OH fixed human HeLa cells with Keratin 7 antibody (clone SPM270); Red=isotype control, Blue= Keratin 7 antibody.
Availability 1-3 business days
Species Reactivity Human
Format Purified
Clonality Monoclonal (mouse origin)
Isotype Mouse IgG1, kappa
Clone Name SPM270
Purity Protein G affinity chromatography
UniProt P08729
Localization Cytoplasmic
Applications Western Blot : 1-2ug/ml
Flow Cytometry : 1-2ug/10^6 cells
Immunofluorescence : 1-2ug/ml
Immunohistochemistry (FFPE) : 1-2ug/ml for 30 min at RT
Limitations This Keratin 7 antibody is available for research use only.
Review this product on BioCompare and get a $20 Amazon gift card

Related Products

Description

It recognizes an intermediate filament protein (IFP) of 55kDa, which is identified as cytokeratin 7. This mAb is highly specific to cytokeratin 7 and shows no cross-reaction with other IFPs. Cytokeratin 7 is a basic cytokeratin, which is found in most glandular and transitional epithelia but not in the stratified squamous epithelia. Keratin 7 is expressed in the epithelial cells of ovary, lung, and breast but not of colon, prostate, or gastrointestinal tract. This mAb is highly useful in distinguishing ovarian carcinomas (keratin 7+) from colon carcinomas (keratin 7-).

Application Notes

Optimal dilution of the Keratin 7 antibody should be determined by the researcher.

1. Staining of formalin-fixed tissues requires boiling tissue sections in pH 9 10mM Tris with 1mM EDTA for 10-20 min followed by cooling at RT for 20 minutes
2. The prediluted format is supplied in a dropper bottle and is optimized for use in IHC. After epitope retrieval step (if required), drip mAb solution onto the tissue section and incubate at RT for 30 min.

Immunogen

OTN 11 cells (ovarian carcinoma cell line) were used as the immunogen for the Keratin 7 antibody.

Storage

Store the Keratin 7 antibody at 2-8oC (with azide) or aliquot and store at -20oC or colder (without azide).

Cross
Bulk Quote Request Form
Name*:
Organization*:
Email*:
Phone Number*:
Catalog No.*:
Comments and Specifics(amount, formulation, etc.)*:
Validation code: Captchapackage Image


Can't read the image? click here to refresh.
    *required field

Your bulk quote request has been submitted successfully!

Please contact us if you have any questions.