• Tel: 858.663.9055
  • SeparatorEmail: info@nsjbio.com
  • Tel: 858.663.9055
  • Email: info@nsjbio.com
Home >> Antibodies >> Keratin 7 Antibody Cocktail

Keratin 7 Antibody Cocktail [clone KRT7/760 + KRT7/903] (V2659)

  Catalog No Formulation Size Price (USD)  
Image V2659-100UG 0.2 mg/ml in 1X PBS with 0.1 mg/ml BSA (US sourced) and 0.05% sodium azide 100 ug 539
Image
V2659-20UG 0.2 mg/ml in 1X PBS with 0.1 mg/ml BSA (US sourced) and 0.05% sodium azide 20 ug 249
Image
V2659SAF-100UG 1 mg/ml in 1X PBS; BSA free, sodium azide free 100 ug 539
Image
V2659IHC-7ML Prediluted in 1X PBS with 0.1 mg/ml BSA (US sourced) and 0.05% sodium azide; *For IHC use only* 7 ml 539
Bulk quote request
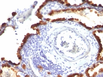
IHC: Formalin-fixed, paraffin-embedded human lung carcinoma stained with Keratin 7 antibody (KRT7/760 + KRT7/903)
IHC: Formalin-fixed, paraffin-embedded human ovarian carcinoma stained with Keratin 7 antibody (KRT7/760 + KRT7/903)
IHC: Formalin-fixed, paraffin-embedded human endometrial carcinoma stained with Keratin 7 antibody (KRT7/760 + KRT7/903)
Immunofluorescent staining of methanol-fixed human HeLa cells with Cytokeratin 7 antibody cocktail (green, clones KRT7/760 + KRT7/903) and Reddot nuclear counterstain (red).
Western blot testing of human HeLa cell lysate with Cytokeratin 7 antibody cocktail (clones KRT7/760 + KRT7/903).
Availability 1-3 business days
Species Reactivity Human
Format Purified
Clonality Monoclonal (mouse origin)
Isotype Mouse IgG1, kappa
Clone Name KRT7/760 + KRT7/903
Purity Protein G affinity chromatography
UniProt P08729
Localization Cytoplasmic
Applications Flow Cytometry : 0.5-1ug/10^6 cells
Immunofluorescence : 0.5-1ug/ml
Immunohistochemistry (FFPE) : 1-2ug/ml for 30 min at RT
Limitations This Keratin 7 antibody cocktail is available for research use only.
Review this product on BioCompare and get a $20 Amazon gift card

Related Products

Description

It recognizes an intermediate filament protein (IFP) of 55 kDa, which is identified as cytokeratin 7. This mAb is highly specific to cytokeratin 7 and shows no cross-reaction with other IFPs. Cytokeratin 7 is a basic cytokeratin, which is found in most glandular and transitional epithelia but not in the stratified squamous epithelia. Keratin 7 is expressed in the epithelial cells of ovary, lung, and breast but not of colon, prostate, or gastrointestinal tract. This mAb is highly useful in distinguishing ovarian carcinomas (keratin 7+) from colon carcinomas (keratin 7-).

Application Notes

Optimal dilution of the Keratin 7 antibody cocktail should be determined by the researcher.

1. Staining of formalin-fixed tissues requires boiling tissue sections in 10mM Tris buffer with 1mM EDTA, pH 9.0, for 10-20 min followed by cooling at RT for 20 min
2. The prediluted format is supplied in a dropper bottle and is optimized for use in IHC. After epitope retrieval step (if required), drip mAb solution onto the tissue section and incubate at RT for 30 min.

Immunogen

Recombinant full-length human KRT7 protein was used as the immunogen for the Keratin 7 antibody cocktail.

Storage

Store the Keratin 7 antibody cocktail at 2-8oC (with azide) or aliquot and store at -20oC or colder (without azide).

Cross
Bulk Quote Request Form
Name*:
Organization*:
Email*:
Phone Number*:
Catalog No.*:
Comments and Specifics(amount, formulation, etc.)*:
Validation code: Captchapackage Image


Can't read the image? click here to refresh.
    *required field

Your bulk quote request has been submitted successfully!

Please contact us if you have any questions.