• Tel: 858.663.9055
  • SeparatorEmail: info@nsjbio.com
  • Tel: 858.663.9055
  • Email: info@nsjbio.com
Home >> Antibodies >> Keratin 18 Antibody

Keratin 18 Antibody [clone C-04 or Ks18.04] (V2675)

  Catalog No Formulation Size Price (USD)  
Image V2675-100UG 0.2 mg/ml in 1X PBS with 0.1 mg/ml BSA (US sourced) and 0.05% sodium azide 100 ug 539
Image
V2675-20UG 0.2 mg/ml in 1X PBS with 0.1 mg/ml BSA (US sourced) and 0.05% sodium azide 20 ug 249
Image
V2675SAF-100UG 1 mg/ml in 1X PBS; BSA free, sodium azide free 100 ug 539
Image
V2675IHC-7ML Prediluted in 1X PBS with 0.1 mg/ml BSA (US sourced) and 0.05% sodium azide; *For IHC use only* 7 ml 539
Bulk quote request
Western blot testing of human intestine and stomach tissue lysate with Keratin 18 antibody (clone C-04). Expected molecular weight: 46-50 kDa.
Western blot testing of HCT116 cell lysate with Cytokerain 18 antibody (clone C-04). Expected molecular weight: 46-50 kDa.
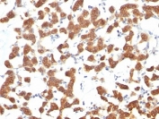
IHC analysis of formalin-fixed, paraffin-embedded human thyroid carcinoma stained with Keratin 18 antibody (clone C-04).
Flow cytometry testing of PFA fixed human HeLa cells with Keratin 18 antibody (clone C-04); Red=isotype control, Blue= Keratin 18 antibody.
SDS-PAGE analysis of purified, BSA-free Keratin 18 antibody (clone C-04) as confirmation of integrity and purity.
Availability 1-3 business days
Species Reactivity Human, Mouse, Rat
Format Purified
Clonality Monoclonal (mouse origin)
Isotype Mouse IgG1, kappa
Clone Name C-04 or Ks18.04
Purity Protein G affinity chromatography
UniProt P05783
Localization Cytoplasmic
Applications Flow Cytometry : 1-2ug/10^6 cells
Western Blot : 1-2ug/ml
Immunohistochemistry (FFPE) : 1-2ug/ml for 30 min at RT
Limitations This Keratin 18 antibody is available for research use only.
Review this product on BioCompare and get a $20 Amazon gift card

Related Products

Description

This mAb reacts with a wide variety of simple epithelia. It does not react with stratified squamous epithelia. It reacts with epithelial tumors of the gastrointestinal tract, lung, breast, pancreas, ovary, and thyroid. Cytokeratin 18, which belongs to the type A (acidic) subfamily of low molecular weight keratins, exists in combination with cytokeratin 8. It was reported that tissues from gastrointestinal tract are positive for both cytokeratin 8 and 18 but do not contain cytokeratin 14. Tissues from gastrointestinal tract, respiratory tract and urogenital tract, as well as endocrine and exocrine tissues and mesothelial cells are positive for cytokeratin 18.

Application Notes

Optimal dilution of the Keratin 18 antibody should be determined by the researcher.

1. Staining of formalin-fixed tissues requires boiling tissue sections in pH 9 10mM Tris with 1mM EDTA for 10-20 min followed by cooling at RT for 20 min
2. The prediluted format is supplied in a dropper bottle and is optimized for use in IHC. After epitope retrieval step (if required), drip mAb solution onto the tissue section and incubate at RT for 30 min.

Immunogen

A cytoskeletal preparation from A431 cells was used as the immunogen for the Keratin 18 antibody.

Storage

Store the Keratin 18 antibody at 2-8oC (with azide) or aliquot and store at -20oC or colder (without azide).

Cross
Bulk Quote Request Form
Name*:
Organization*:
Email*:
Phone Number*:
Catalog No.*:
Comments and Specifics(amount, formulation, etc.)*:
Validation code: Captchapackage Image


Can't read the image? click here to refresh.
    *required field

Your bulk quote request has been submitted successfully!

Please contact us if you have any questions.