• Tel: 858.663.9055
  • SeparatorEmail: info@nsjbio.com
  • Tel: 858.663.9055
  • Email: info@nsjbio.com
Home >> Antibodies >> KDM5B Antibody / Jarid1B

KDM5B Antibody / Jarid1B (R32541)

  Catalog No Formulation Size Price (USD)  
Image R32541 0.5mg/ml if reconstituted with 0.2ml sterile DI water 100 ug 439
Bulk quote request
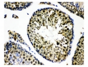
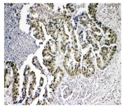
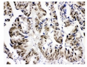
IHC staining of FFPE human breast cancer tissue with KDM5B antibody. HIER: boil tissue sections in pH8 EDTA for 20 min and allow to cool before testing.
IHC staining of FFPE human lung cancer tissue with KDM5B antibody. HIER: boil tissue sections in pH8 EDTA for 20 min and allow to cool before testing.
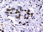
IHC staining of FFPE human intestinal cancer tissue with KDM5B antibody. HIER: boil tissue sections in pH8 EDTA for 20 min and allow to cool before testing.
IHC staining of FFPE human intestinal cancer tissue with KDM5B antibody. HIER: boil tissue sections in pH8 EDTA for 20 min and allow to cool before testing.
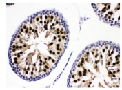
IHC staining of FFPE mouse testis tissue with KDM5B antibody. HIER: boil tissue sections in pH8 EDTA for 20 min and allow to cool before testing.
IHC staining of FFPE rat testis tissue with KDM5B antibody. HIER: boil tissue sections in pH8 EDTA for 20 min and allow to cool before testing.
Immunofluorescent staining of FFPE human MCF7 cells with KDM5B antibody (green) and DAPI nuclear stain (blue). HIER: steam section in pH6 citrate buffer for 20 min.
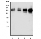
Western blot testing of 1) monkey COS-7, 2) human SH-SY5Y, 3) rat testis and 4) mouse testis tissue lysate with KDM5B antibody at 0.5ug/ml. Predicted molecular weight: ~176 kDa and ~179 kDa (two isoforms).
Flow cytometry testing of fixed and permeabilized human U-2 OS cells with KDM5B antibody at 1ug/million cells (blocked with goat sera); Red=cells alone, Green=isotype control, Blue= KDM5B antibody.
Availability 1-3 business days
Species Reactivity Human, Mouse, Rat, Monkey
Format Antigen affinity purified
Clonality Polyclonal (rabbit origin)
Isotype Rabbit IgG
Purity Antigen affinity
Buffer Lyophilized from 1X PBS with 2% Trehalose
UniProt Q9UGL1
Localization Nuclear
Applications Western Blot : 0.5-1ug/ml
Immunohistochemistry (FFPE) : 2-5ug/ml
Immunofluorescence : 5ug/ml
Flow Cytometry : 1-3ug/million cells
Limitations This KDM5B antibody is available for research use only.
Review this product on BioCompare and get a $20 Amazon gift card

Description

Lysine-specific demethylase 5B, also known as histone demethylase JARID1B, is a demethylase enzyme that in humans is encoded by the KDM5B gene. This gene encodes a lysine-specific histone demethylase that belongs to the jumonji/ARID domain-containing family of histone demethylases. The encoded protein is capable of demethylating tri-, di- and monomethylated lysine 4 of histone H3. This protein plays a role in the transcriptional repression or certain tumor suppressor genes and is upregulated in certain cancer cells. This protein may also play a role in genome stability and DNA repair. Alternate splicing resultsi n multiple transcript variants.

Application Notes

Differences in protocols and secondary/substrate sensitivity may require the KDM5B antibody to be titrated for optimal performance.

Immunogen

Amino acids 641-685 (DVLDVVVASTVQKDMAIMIEDEKALRETVRKLGVIDSERMDFELL) from the human protein were used as the immunogen for the KDM5B antibody.

Storage

After reconstitution, the KDM5B antibody can be stored for up to one month at 4oC. For long-term, aliquot and store at -20oC. Avoid repeated freezing and thawing.

Cross
Bulk Quote Request Form
Name*:
Organization*:
Email*:
Phone Number*:
Catalog No.*:
Comments and Specifics(amount, formulation, etc.)*:
Validation code: Captchapackage Image


Can't read the image? click here to refresh.
    *required field

Your bulk quote request has been submitted successfully!

Please contact us if you have any questions.