• Tel: 858.663.9055
  • SeparatorEmail: info@nsjbio.com
  • Tel: 858.663.9055
  • Email: info@nsjbio.com
Home >> Antibodies >> KCNQ1 Antibody

KCNQ1 Antibody (R33938)

  Catalog No Formulation Size Price (USD)  
Image R33938-100UG 0.5 mg/ml in 1X TBS, pH7.3, with 0.5% BSA (US sourced) and 0.02% sodium azide 100 ug 449
Bulk quote request
Western blot testing of human heart lysate with KCNQ1 antibody at 1ug/ml. Predicted molecular weight ~75/61 kDa (isoforms). Both observed bands are blocked by addition of the immunizing peptide.
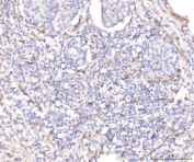
IHC staining of FFPE rat liver tissue with KCNQ1 antibody at 8ug/ml. Required HIER: steamed antigen retrieval with pH6 citrate buffer.
Negative control: IHC staining of FFPE rat liver tissue without KCNQ1 antibody. Required HIER: steamed antigen retrieval with pH6 citrate buffer.
Availability 1-3 business days
Species Reactivity Human, Rat
Predicted Reactivity Cow, Dog, Mouse
Format Antigen affinity purified
Clonality Polyclonal (goat origin)
Isotype Goat Ig
Purity Antigen affinity
Gene ID 3784
Applications Western Blot : 1-3ug/ml
Immunohistochemistry (FFPE) : 8-10ug/ml
ELISA (peptide) LOD : 1:16000
Limitations This KCNQ1 antibody is available for research use only.
Review this product on BioCompare and get a $20 Amazon gift card

Related Products

  • Applications : WB, IHC-P, IF, FACS
    Reactivity : Human, Mouse, Rat

Description

Additional name(s) for this target protein: Potassium voltage-gated channel, KQT-like subfamily, member 1

Application Notes

Optimal dilution of the KCNQ1 antibody should be determined by the researcher.

Immunogen

Amino acids EQLTVPRRGPDEGS were used as the immunogen for this KCNQ1 antibody.

Storage

Aliquot and store the KCNQ1 antibody at -20oC.

Cross
Bulk Quote Request Form
Name*:
Organization*:
Email*:
Phone Number*:
Catalog No.*:
Comments and Specifics(amount, formulation, etc.)*:
Validation code: Captchapackage Image


Can't read the image? click here to refresh.
    *required field

Your bulk quote request has been submitted successfully!

Please contact us if you have any questions.