• Tel: 858.663.9055
  • SeparatorEmail: info@nsjbio.com
  • Tel: 858.663.9055
  • Email: info@nsjbio.com
Home >> Antibodies >> KCNQ1 Antibody

KCNQ1 Antibody (R32584)

  Catalog No Formulation Size Price (USD)  
Image R32584 0.5mg/ml if reconstituted with 0.2ml sterile DI water 100 ug 439
Bulk quote request
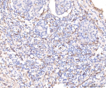
IHC staining of FFPE human lung cancer tissue with KCNQ1 antibody. HIER: boil tissue sections in pH8 EDTA for 20 min and allow to cool before testing.
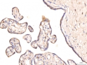
IHC staining of FFPE human placental tissue with KCNQ1 antibody. HIER: boil tissue sections in pH8 EDTA for 20 min and allow to cool before testing.
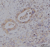
IHC staining of FFPE human breast cancer tissue with KCNQ1 antibody. HIER: boil tissue sections in pH8 EDTA for 20 min and allow to cool before testing.
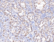
IHC staining of FFPE human liver cancer tissue with KCNQ1 antibody. HIER: boil tissue sections in pH8 EDTA for 20 min and allow to cool before testing.
Immunofluorescent staining of FFPE human HeLa cells with KCNQ1 antibody (green) and DAPI nuclear stain (blue). HIER: steam section in pH6 citrate buffer for 20 min.
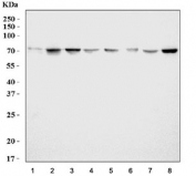
Western blot testing of 1) human U937, 2) human ThP-1, 3) rat stomach, 4) rat lung, 5) rat PC-12, 6) mouse stomach, 7) mouse lung and 8) mouse NIH 3T3 cell lysate with KCNQ1 antibody. Predicted molecular weight ~75/61 kDa (isoforms).
Flow cytometry testing of human U937 cells with KCNQ1 antibody at 1ug/million cells (blocked with goat sera); Red=cells alone, Green=isotype control, Blue= KCNQ1 antibody.
Availability 1-3 business days
Species Reactivity Human, Mouse, Rat
Format Antigen affinity purified
Clonality Polyclonal (rabbit origin)
Isotype Rabbit IgG
Purity Antigen affinity
Buffer Lyophilized from 1X PBS with 2% Trehalose
UniProt P51787
Localization Cytoplasmic
Applications Western Blot : 0.5-1ug/ml
Immunohistochemistry (FFPE) : 2-5ug/ml
Immunofluorescence (FFEP) : 5ug/ml
Flow Cytometry : 1-3ug/million cells
Limitations This KCNQ1 antibody is available for research use only.
Review this product on BioCompare and get a $20 Amazon gift card

Related Products

  • Applications : WB, IHC-P, ELISA (peptide)
    Reactivity : Human, Rat
    Pred. Reactivity : Cow, Dog, Mouse

Description

Kv7.1 (KvLQT1) is a potassium channel protein whose primary subunit in humans is encoded by the KCNQ1 gene. This protein can form heteromultimers with two other potassium channel proteins, KCNE1 and KCNE3. Mutations in this gene are associated with hereditary long QT syndrome 1 (also known as Romano-Ward syndrome), Jervell and Lange-Nielsen syndrome, and familial atrial fibrillation. This gene exhibits tissue-specific imprinting, with preferential expression from the maternal allele in some tissues, and biallelic expression in others. And this gene is located in a region of chromosome 11 amongst other imprinted genes that are associated with Beckwith-Wiedemann syndrome (BWS), and itself has been shown to be disrupted by chromosomal rearrangements in patients with BWS. Alternatively spliced transcript variants have been found for this gene.

Application Notes

Optimal dilution of the KCNQ1 antibody should be determined by the researcher.

Immunogen

Amino acids 356-397 (QQKQRQKHFNRQIPAAASLIQTAWRCYAAENPDSSTWKIYIR-human) were used as the immunogen for the KCNQ1 antibody.

Storage

After reconstitution, the KCNQ1 antibody can be stored for up to one month at 4oC. For long-term, aliquot and store at -20oC. Avoid repeated freezing and thawing.

Cross
Bulk Quote Request Form
Name*:
Organization*:
Email*:
Phone Number*:
Catalog No.*:
Comments and Specifics(amount, formulation, etc.)*:
Validation code: Captchapackage Image


Can't read the image? click here to refresh.
    *required field

Your bulk quote request has been submitted successfully!

Please contact us if you have any questions.