• Tel: 858.663.9055
  • SeparatorEmail: info@nsjbio.com
  • Tel: 858.663.9055
  • Email: info@nsjbio.com
Home >> Antibodies >> KCNN2 Antibody

KCNN2 Antibody (R34007)

  Catalog No Formulation Size Price (USD)  
Image R34007-100UG 0.5 mg/ml in 1X TBS, pH7.3, with 0.5% BSA (US sourced) and 0.02% sodium azide 100 ug 449
Bulk quote request
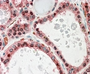
IHC staining of FFPE human thyroid gland with KCNN2 antibody at 4ug/ml. HIER: steamed with pH6 citrate buffer, AP-staining.
Western blot testing of human liver lysate with KCNN2 antibody at 0.3ug/ml. Predicted molecular weight: ~64/26kDa (isoforms 1/2).
Availability 1-3 business days
Species Reactivity Human
Predicted Reactivity Cow, Dog, Mouse, Rat
Format Antigen affinity purified
Clonality Polyclonal (goat origin)
Isotype Goat Ig
Purity Antigen affinity
Gene ID 3781
Applications Western Blot : 0.3-1ug/ml
Immunohistochemistry (FFPE) : 1-2ug/ml
ELISA (peptide) LOD : 1:64000
Limitations This KCNN2 antibody is available for research use only.
Review this product on BioCompare and get a $20 Amazon gift card

Description

Additional name(s) for this target protein: Potassium intermediate/small conductance calcium-activated channel, subfamily N, member 2 antibody, KCa2.2

Application Notes

Optimal dilution of the KCNN2 antibody should be determined by the researcher.

Immunogen

Amino acids ESYDKHVTYNAER were used as the immunogen for this KCNN2 antibody.

Storage

Aliquot and store the KCNN2 antibody at -20oC.

Cross
Bulk Quote Request Form
Name*:
Organization*:
Email*:
Phone Number*:
Catalog No.*:
Comments and Specifics(amount, formulation, etc.)*:
Validation code: Captchapackage Image


Can't read the image? click here to refresh.
    *required field

Your bulk quote request has been submitted successfully!

Please contact us if you have any questions.