• Tel: 858.663.9055
  • SeparatorEmail: info@nsjbio.com
  • Tel: 858.663.9055
  • Email: info@nsjbio.com
Home >> Antibodies >> KCNJ8 Antibody

KCNJ8 Antibody (RQ6193)

  Catalog No Formulation Size Price (USD)  
Image RQ6193 0.5mg/ml if reconstituted with 0.2ml sterile DI water 100 ug 439
Bulk quote request
IHC staining of FFPE human pancreatic cancer with KCNJ8 antibody. HIER: boil tissue sections in pH8 EDTA for 20 min and allow to cool before testing.
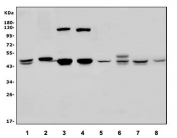
Western blot testing of human 1) Caco-2, 2) SH-SY5Y, 3) HEK293, 4) K562, 5) A549, 6) rat RH35, 7) mouse kidney and 8) mouse HEPA1-6 lysate with KCNJ8 antibody. Predicted molecular weight ~48 kDa.
Flow cytometry testing of human U-2 OS cells with KCNJ8 antibody at 1ug/million cells (blocked with goat sera); Red=cells alone, Green=isotype control, Blue= KCNJ8 antibody.
Availability 1-3 business days
Species Reactivity Human, Mouse, Rat
Format Antigen affinity purified
Clonality Polyclonal (rabbit origin)
Isotype Rabbit IgG
Purity Affinity purified
Buffer Lyophilized from 1X PBS with 2% Trehalose
UniProt Q15842
Applications Western Blot : 1-2ug/ml
Immunohistochemistry (FFPE) : 2-5ug/ml
Flow Cytometry : 1-3ug/million cells
Direct ELISA : 0.1-0.5ug/ml
Limitations This KCNJ8 antibody is available for research use only.
Review this product on BioCompare and get a $20 Amazon gift card

Description

Potassium inwardly-rectifying channel, subfamily J, member 8, also known as KCNJ8, is a human gene encoding the Kir6.1 protein. Potassium channels are present in most mammalian cells, where they participate in a wide range of physiologic responses. The protein encoded by this gene is an integral membrane protein and inward-rectifier type potassium channel. The encoded protein, which has a greater tendency to allow potassium to flow into a cell rather than out of a cell, is controlled by G-proteins. Defects in this gene may be a cause of J-wave syndromes and sudden infant death syndrome (SIDS).

Application Notes

Optimal dilution of the KCNJ8 antibody should be determined by the researcher.

Immunogen

A human recombinant partial protein (amino acids M1-S424) was used as the immunogen for the KCNJ8 antibody.

Storage

After reconstitution, the KCNJ8 antibody can be stored for up to one month at 4oC. For long-term, aliquot and store at -20oC. Avoid repeated freezing and thawing.

Cross
Bulk Quote Request Form
Name*:
Organization*:
Email*:
Phone Number*:
Catalog No.*:
Comments and Specifics(amount, formulation, etc.)*:
Validation code: Captchapackage Image


Can't read the image? click here to refresh.
    *required field

Your bulk quote request has been submitted successfully!

Please contact us if you have any questions.