• Tel: 858.663.9055
  • SeparatorEmail: info@nsjbio.com
  • Tel: 858.663.9055
  • Email: info@nsjbio.com
Home >> Antibodies >> KChIP2 Antibody

KChIP2 Antibody (R32335)

  Catalog No Formulation Size Price (USD)  
Image R32335 0.5mg/ml if reconstituted with 0.2ml sterile DI water 100 ug 439
Bulk quote request
Immunofluorescent staining of FFPE human SH-SY5Y cells with KChIP2 antibody (green) and DAPI nuclear stain (blue). HIER: steam section in pH6 citrate buffer for 20 min.
IHC testing of FFPE human glioma with KChIP2 antibody. HIER: Boil the paraffin sections in pH 6, 10mM citrate buffer for 20 minutes and allow to cool prior to staining.
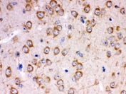
IHC testing of FFPE mouse brain with KChIP2 antibody. HIER: Boil the paraffin sections in pH 6, 10mM citrate buffer for 20 minutes and allow to cool prior to staining.
IHC testing of FFPE rat brain with KChIP2 antibody. HIER: Boil the paraffin sections in pH 6, 10mM citrate buffer for 20 minutes and allow to cool prior to staining.
Western blot testing of 1) rat brain, 2) rat heart, 3) mouse heart and 4) human 22RV1 lysate with KChIP2 antibody. Expected molecular weight ~31 kDa.
Flow cytometry testing of human K562 cells with KChIP2 antibody at 1ug/million cells (blocked with goat sera); Red=cells alone, Green=isotype control, Blue= KChIP2 antibody.
Availability 1-3 business days
Species Reactivity Human, Mouse, Rat
Format Antigen affinity purified
Clonality Polyclonal (rabbit origin)
Isotype Rabbit IgG
Purity Antigen affinity
Buffer Lyophilized from 1X PBS with 2.5% BSA and 0.025% sodium azide
UniProt Q9NS61
Localization Cytoplasmic, membrane
Applications Western Blot : 0.1-0.5ug/ml
Immunohistochemistry (FFPE) : 0.5-1ug/ml
Immunofluorescence (FFPE) : 2-4ug/ml
Flow Cytometry : 1-3ug/million cells
Limitations This KChIP2 antibody is available for research use only.
Review this product on BioCompare and get a $20 Amazon gift card

Related Products

Description

Kv channel-interacting protein 2 also known as KChIP2 is a protein that in humans is encoded by the KCNIP2 gene. This gene encodes a member of the family of voltage-gated potassium (Kv) channel-interacting proteins, which belong to the recoverin branch of the EF-hand superfamily. Members of the KCNIP family are small calcium binding proteins. They all have EF-hand-like domains, and differ from each other in the N-terminus. And they are integral subunit components of native Kv4 channel complexes. They may regulate A-type currents, and hence neuronal excitability, in response to changes in intracellular calcium. Alternative splicing results in multiple transcript variant encoding different isoforms.

Application Notes

Optimal dilution of the KChIP2 antibody should be determined by the researcher.

Immunogen

Amino acids DEFELSTVCHRPEGLEQLQEQTKFTRKELQVLYR of human KChIP2 were used as the immunogen for the KChIP2 antibody.

Storage

After reconstitution, the KChIP2 antibody can be stored for up to one month at 4oC. For long-term, aliquot and store at -20oC. Avoid repeated freezing and thawing.

Cross
Bulk Quote Request Form
Name*:
Organization*:
Email*:
Phone Number*:
Catalog No.*:
Comments and Specifics(amount, formulation, etc.)*:
Validation code: Captchapackage Image


Can't read the image? click here to refresh.
    *required field

Your bulk quote request has been submitted successfully!

Please contact us if you have any questions.