• Tel: 858.663.9055
  • SeparatorEmail: info@nsjbio.com
  • Tel: 858.663.9055
  • Email: info@nsjbio.com
Home >> Antibodies >> Kallikrein 6 Antibody

Kallikrein 6 Antibody (R30860)

  Catalog No Formulation Size Price (USD)  
Image R30860 0.5mg/ml if reconstituted with 0.2ml sterile DI water 100 ug 439
Bulk quote request
Western blot testing of Kallikrein 6 antibody and human lysate samples: 1) MCF-7; 2) HeLa; 3) MM231; 4) MM453; 5) A549; 6) SMMC-7721; 7) COLO320; 8) SW620; 9) HT1080. Predicted molecular weight: ~27 kDa.
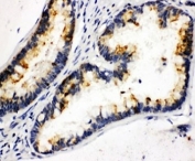
IHC-P: Kallikrein 6 antibody testing of human intestinal cancer tissue
ICC testing of rat PC3 cells with Kallikrein 6 antibody
Availability 1-3 business days
Species Reactivity Human
Format Antigen affinity purified
Clonality Polyclonal (rabbit origin)
Isotype Rabbit IgG
Purity Antigen affinity
Buffer Lyophilized from 1X PBS with 2.5% BSA and 0.025% sodium azide/thimerosal
UniProt Q92876
Applications Western Blot : 0.5-1ug/ml
IHC (FFPE) : 0.5-1ug/ml
Immunocytochemistry : 0.5-1ug/ml
Limitations This Kallikrein 6 antibody is available for research use only.
Review this product on BioCompare and get a $20 Amazon gift card

Related Products

Description

Kallikrein-related peptidase 6 is a protein that in humans is encoded by the KLK6 gene. This gene is one of the fifteen subfamily members located in a cluster on chromosome 19. The encoded enzyme is regulated by steroid hormones. Northern blot analysis revealed that the PRSS9 mRNA was expressed in several primary tumors and cell lines from mammary, prostate, and ovarian cancers, but was not detected in any metastases of these cancers. The KLK6 gene is mapped on 19q13.41. In tissue culture, the enzyme has been found to generate amyloidogenic fragments from the amyloid precursor protein, suggesting a potential for involvement in Alzheimers disease. Upon cellular stress, neurosin was released from mitochondria to the cytosol, which resulted in the increase of degraded alpha-synuclein species. Neurosin may play a significant role in physiologic alpha-synuclein degradation and also in the pathogenesis of synucleinopathies.

Application Notes

The stated application concentrations are suggested starting amounts. Titration of the Kallikrein 6 antibody may be required due to differences in protocols and secondary/substrate sensitivity.

Immunogen

An amino acid sequence from the C-terminus of human KLK6 (YTNVCRYTNWIQKTIQAK) was used as the immunogen for this Kallikrein 6 antibody.

Storage

After reconstitution, the Kallikrein 6 antibody can be stored for up to one month at 4oC. For long-term, aliquot and store at -20oC. Avoid repeated freezing and thawing.

Cross
Bulk Quote Request Form
Name*:
Organization*:
Email*:
Phone Number*:
Catalog No.*:
Comments and Specifics(amount, formulation, etc.)*:
Validation code: Captchapackage Image


Can't read the image? click here to refresh.
    *required field

Your bulk quote request has been submitted successfully!

Please contact us if you have any questions.