• Tel: 858.663.9055
  • SeparatorEmail: info@nsjbio.com
  • Tel: 858.663.9055
  • Email: info@nsjbio.com
Home >> Antibodies >> Kallikrein-1 Antibody

Kallikrein-1 Antibody (R30716)

  Catalog No Formulation Size Price (USD)  
Image R30716 0.5mg/ml if reconstituted with 0.2ml sterile DI water 100 ug 439
Bulk quote request
Western blot testing of Kallikrein-1 antibody and Lane 1: rat pancreas lysate; 2: rat kidney lysate. Predicted molecular weight ~29 kDa.
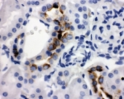
IHC-P: Kallikrein-1 antibody testing of rat kidney tissue
Availability 1-3 business days
Species Reactivity Rat
Format Antigen affinity purified
Clonality Polyclonal (rabbit origin)
Isotype Rabbit IgG
Purity Antigen affinity
Buffer Lyophilized from 1X PBS with 2.5% BSA and 0.025% sodium azide/thimerosal
UniProt P00758
Applications Western Blot : 0.5-1ug/ml
IHC (FFPE) : 0.5-1ug/ml
Limitations This Kallikrein-1 antibody is available for research use only.
Review this product on BioCompare and get a $20 Amazon gift card

Related Products

Description

Kallikrein-1, also called KLKR, is a protein that in humans is encoded by the KLK1 gene. It is a member of the peptidase S1 family. KLK1 is a serine protease that generates Lys-bradykinin by specific proteolysis of kininogen-1. The gene is one of the fifteen kallikrein subfamily members located in a cluster on chromosome 19 and its exact cytogenetic location is 19q13.33. The KLK1 gene contains 5 coding exons. And KLK1 is the most centromeric gene in the cluster. Mice lacking tissue kallikrein are unable to generate significant levels of kinins in most tissues and develop cardiovascular abnormalities early in adulthood despite normal blood pressure. The protein is functionally conserved in its capacity to release the vasoactive peptide, Lys-bradykinin, from low molecular weight kininogen.

Application Notes

The stated application concentrations are suggested starting amounts. Titration of the Kallikrein-1 antibody may be required due to differences in protocols and secondary/substrate sensitivity.

Immunogen

An amino acid sequence from the C-terminus of rat Kallikrein-1 (YTKLIKFTPWIKEVMKENP) was used as the immunogen for this Kallikrein-1 antibody.

Storage

After reconstitution, the Kallikrein-1 antibody can be stored for up to one month at 4oC. For long-term, aliquot and store at -20oC. Avoid repeated freezing and thawing.

Cross
Bulk Quote Request Form
Name*:
Organization*:
Email*:
Phone Number*:
Catalog No.*:
Comments and Specifics(amount, formulation, etc.)*:
Validation code: Captchapackage Image


Can't read the image? click here to refresh.
    *required field

Your bulk quote request has been submitted successfully!

Please contact us if you have any questions.