• Tel: 858.663.9055
  • SeparatorEmail: info@nsjbio.com
  • Tel: 858.663.9055
  • Email: info@nsjbio.com
Home >> Antibodies >> Junctional adhesion molecule A Antibody / JAM-A / F11R

Junctional adhesion molecule A Antibody / JAM-A / F11R (RQ7077)

  Catalog No Formulation Size Price (USD)  
Image RQ7077 0.5mg/ml if reconstituted with 0.2ml sterile DI water 100 ug 439
Bulk quote request
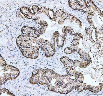
IHC staining of FFPE human prostate cancer tissue with Junctional adhesion molecule A antibody. HIER: boil tissue sections in pH8 EDTA for 20 min and allow to cool before testing.
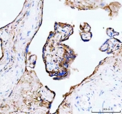
IHC staining of FFPE human placental tissue with Junctional adhesion molecule A antibody. HIER: boil tissue sections in pH8 EDTA for 20 min and allow to cool before testing.
Western blot testing of human 1) HaCaT, 2) T-47D, 3) A431 and 4) RT4 cell lysate with Junctional adhesion molecule A antibody. Expected molecular weight: 35~43 kDa depending on glycosylation level.
Flow cytometry testing of human A2780 cells with Junctional adhesion molecule A antibody at 1ug/million cells (blocked with goat sera); Red=cells alone, Green=isotype control, Blue= Junctional adhesion molecule A antibody.
Flow cytometry testing of human MCF7 cells with Junctional adhesion molecule A antibody at 1ug/million cells (blocked with goat sera); Red=cells alone, Green=isotype control, Blue= Junctional adhesion molecule A antibody.
Availability 1-3 business days
Species Reactivity Human
Format Antigen affinity purified
Clonality Polyclonal (rabbit origin)
Isotype Rabbit IgG
Purity Antigen affinity purified
Buffer Lyophilized from 1X PBS with 2% Trehalose
UniProt Q9Y624
Localization Cell membrane, cell junction
Applications Western Blot : 0.5-1ug/ml
Immunohistochemistry (FFPE) : 2-5ug/ml
Flow Cytometry : 1-3ug/million cells
Direct ELISA : 0.1-0.5ug/ml
Limitations This Junctional adhesion molecule A antibody is available for research use only.
Review this product on BioCompare and get a $20 Amazon gift card

Related Products

Description

Junctional adhesion molecule A is a protein that in humans is encoded by the F11R gene. Tight junctions represent one mode of cell-to-cell adhesion in epithelial or endothelial cell sheets, forming continuous seals around cells and serving as a physical barrier to prevent solutes and water from passing freely through the paracellular space. The protein encoded by this immunoglobulin superfamily gene member is an important regulator of tight junction assembly in epithelia. In addition, the encoded protein can act as (1) a receptor for reovirus, (2) a ligand for the integrin LFA1, involved in leukocyte transmigration, and (3) a platelet receptor. Multiple 5' alternatively spliced variants, encoding the same protein, have been identified but their biological validity has not been established.

Application Notes

Optimal dilution of the Junctional adhesion molecule A antibody should be determined by the researcher.

Immunogen

Recombinant human protein (amino acids S28-T294) was used as the immunogen for the Junctional adhesion molecule A antibody.

Storage

After reconstitution, the Junctional adhesion molecule A antibody can be stored for up to one month at 4oC. For long-term, aliquot and store at -20oC. Avoid repeated freezing and thawing.

Cross
Bulk Quote Request Form
Name*:
Organization*:
Email*:
Phone Number*:
Catalog No.*:
Comments and Specifics(amount, formulation, etc.)*:
Validation code: Captchapackage Image


Can't read the image? click here to refresh.
    *required field

Your bulk quote request has been submitted successfully!

Please contact us if you have any questions.