• Tel: 858.663.9055
  • SeparatorEmail: info@nsjbio.com
  • Tel: 858.663.9055
  • Email: info@nsjbio.com
Home >> Antibodies >> JUNB Antibody

JUNB Antibody (RQ6565)

  Catalog No Formulation Size Price (USD)  
Image RQ6565 0.5mg/ml if reconstituted with 0.2ml sterile DI water 100 ug 439
Bulk quote request
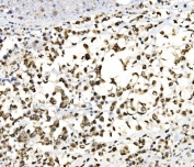
IHC staining of FFPE human spleen tissue with JUNB antibody. HIER: boil tissue sections in pH8 EDTA for 20 min and allow to cool before testing.
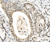
IHC staining of FFPE human placental tissue with JUNB antibody. HIER: boil tissue sections in pH8 EDTA for 20 min and allow to cool before testing.
IHC staining of FFPE human gall bladder adenosquamous carcinoma tissue with JUNB antibody. HIER: boil tissue sections in pH8 EDTA for 20 min and allow to cool before testing.
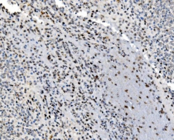
IHC staining of FFPE human lung cancer tissue with JUNB antibody. HIER: boil tissue sections in pH8 EDTA for 20 min and allow to cool before testing.
IHC staining of FFPE human pancreatic cancer tissue with JUNB antibody. HIER: boil tissue sections in pH8 EDTA for 20 min and allow to cool before testing.
IHC staining of FFPE mouse brain tissue with JUNB antibody. HIER: boil tissue sections in pH8 EDTA for 20 min and allow to cool before testing.
IHC staining of FFPE rat brain tissue with JUNB antibody. HIER: boil tissue sections in pH8 EDTA for 20 min and allow to cool before testing.
Immunofluorescent staining of FFPE human SiHa cells with JUNB antibody (green) and DAPI nuclear stain (blue). HIER: steam section in pH6 citrate buffer for 20 min.
Western blot testing of human 1) HeLa, 2) K562, 3) Caco-2, 4) A549, 5) HT1080 and 6) A431 cell lysate with JUNB antibody. Expected molecular weight: 36-39 kDa (non-phophorylated), 40-45 kDa (phosphorylated).
Flow cytometry testing of human A431 cells with JUNB antibody at 1ug/million cells (blocked with goat sera); Red=cells alone, Green=isotype control, Blue= JUNB antibody.
Availability 1-3 business days
Species Reactivity Human, Mouse, Rat
Format Antigen affinity purified
Clonality Polyclonal (rabbit origin)
Isotype Rabbit IgG
Purity Affinity purified
Buffer Lyophilized from 1X PBS with 2% Trehalose
UniProt P17275
Localization Nuclear
Applications Western Blot : 1-2ug/ml
Immunohistochemistry (FFPE) : 2-5ug/ml
Immunofluorescence : 5ug/ml
Flow Cytometry : 1-3ug/million cells
Limitations This JUNB antibody is available for research use only.
Review this product on BioCompare and get a $20 Amazon gift card

Related Products

  • Applications : FACS, IF
    Reactivity : Human
    Microvalidated
  • Applications : FACS, IF
    Reactivity : Human
    Microvalidated
  • Applications : WB, ELISA (peptide)
    Reactivity : Human
    Pred. Reactivity : Mouse, Rat, Dog, Cow
  • Applications : WB, IHC-P, FACS, Direct ELISA
    Reactivity : Human

Description

Transcription factor jun-B (JUNB) is a protein that in humans is encoded by the JUNB gene. It is mapped to 19p13.2. JUNB is a transcription factor involved in regulating gene activity following the primary growth factor response. It binds to the DNA sequence 5'-TGA[CG]TCA-3', and a large fraction (over 50%) of the JUNB locus is contained in these flanking evolutionarily conserved sequences (FECS), which may be required for effecting the proper transcriptional regulation of this gene. What's more, the expression of JUNB gene might be involved in terminal granulocyte differentiation or in regulating granulocyte functionality.

Application Notes

Optimal dilution of the JUNB antibody should be determined by the researcher.

Immunogen

Amino acids HDYKLLKPSLAVNLADPY from the human protein were used as the immunogen for the JUNB antibody.

Storage

After reconstitution, the JUNB antibody can be stored for up to one month at 4oC. For long-term, aliquot and store at -20oC. Avoid repeated freezing and thawing.

Cross
Bulk Quote Request Form
Name*:
Organization*:
Email*:
Phone Number*:
Catalog No.*:
Comments and Specifics(amount, formulation, etc.)*:
Validation code: Captchapackage Image


Can't read the image? click here to refresh.
    *required field

Your bulk quote request has been submitted successfully!

Please contact us if you have any questions.