• Tel: 858.663.9055
  • SeparatorEmail: info@nsjbio.com
  • Tel: 858.663.9055
  • Email: info@nsjbio.com
Home >> Antibodies >> JHDM3A Antibody / KDM4A / JMJD2A

JHDM3A Antibody / KDM4A / JMJD2A (RQ7088)

  Catalog No Formulation Size Price (USD)  
Image RQ7088 0.5mg/ml if reconstituted with 0.2ml sterile DI water 100 ug 439
Bulk quote request
IHC staining of FFPE human squamous cell lung carcinoma tissue with JHDM3A antibody. HIER: boil tissue sections in pH8 EDTA for 20 min and allow to cool before testing.
IHC staining of FFPE human ovarian serous carcinoma tissue with JHDM3A antibody. HIER: boil tissue sections in pH8 EDTA for 20 min and allow to cool before testing.
IHC staining of FFPE human laryngeal squamous cell carcinoma tissue with JHDM3A antibody. HIER: boil tissue sections in pH8 EDTA for 20 min and allow to cool before testing.
IHC staining of FFPE mouse colon tissue with JHDM3A antibody. HIER: boil tissue sections in pH8 EDTA for 20 min and allow to cool before testing.
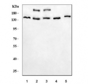
Western blot testing of 1) human HeLa, 2) human 293T, 3) human HEL, 4) rat C6 and 5) mouse NIH 3T3 cell lysate with JHDM3A antibody. Predicted molecular weight ~121 kDa.
Flow cytometry testing of human HepG2 cells with JHDM3A antibody at 1ug/million cells (blocked with goat sera); Red=cells alone, Green=isotype control, Blue= JHDM3A antibody.
Availability 1-3 business days
Species Reactivity Human, Mouse, Rat
Format Antigen affinity purified
Clonality Polyclonal (rabbit origin)
Isotype Rabbit IgG
Purity Antigen affinity purified
Buffer Lyophilized from 1X PBS with 2% Trehalose
UniProt O75164
Localization Nuclear
Applications Western Blot : 0.5-1ug/ml
Immunohistochemistry (FFPE) : 2-5ug/ml
Flow Cytometry : 1-3ug/million cells
Direct ELISA : 0.1-0.5ug/ml
Limitations This JHDM3A antibody is available for research use only.
Review this product on BioCompare and get a $20 Amazon gift card

Related Products

Description

Lysine-specific demethylase 4A is an enzyme that in humans is encoded by the KDM4A gene. This gene is a member of the Jumonji domain 2 (JMJD2) family and encodes a protein containing a JmjN domain, a JmjC domain, a JD2H domain, two TUDOR domains, and two PHD-type zinc fingers. This nuclear protein functions as a trimethylation-specific demethylase, converting specific trimethylated histone residues to the dimethylated form, and as a transcriptional repressor.

Application Notes

Optimal dilution of the JHDM3A antibody should be determined by the researcher.

Immunogen

Recombinant human protein (amino acids D379-E1064) was used as the immunogen for the JHDM3A antibody.

Storage

After reconstitution, the JHDM3A antibody can be stored for up to one month at 4oC. For long-term, aliquot and store at -20oC. Avoid repeated freezing and thawing.

Cross
Bulk Quote Request Form
Name*:
Organization*:
Email*:
Phone Number*:
Catalog No.*:
Comments and Specifics(amount, formulation, etc.)*:
Validation code: Captchapackage Image


Can't read the image? click here to refresh.
    *required field

Your bulk quote request has been submitted successfully!

Please contact us if you have any questions.