• Tel: 858.663.9055
  • SeparatorEmail: info@nsjbio.com
  • Tel: 858.663.9055
  • Email: info@nsjbio.com
Home >> Antibodies >> JAK2 Antibody

JAK2 Antibody (F43883)

  Catalog No Formulation Size Price (USD)  
Image F43883-0.4ML In 1X PBS, pH 7.4, with 0.09% sodium azide 0.4 ml 429
Image
F43883-0.08ML In 1X PBS, pH 7.4, with 0.09% sodium azide 0.08 ml 199
Bulk quote request
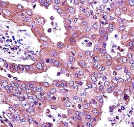
JAK2 antibody immunohistochemistry analysis in formalin fixed and paraffin embedded human lung adenocarcinoma.
JAK2 antibody western blot analysis in mouse lung tissue lysate. Predicted molecular weight ~130 kDa
Availability 1-3 business days
Species Reactivity Mouse
Predicted Reactivity Rat, Pig
Format Antigen affinity purified
Clonality Polyclonal (rabbit origin)
Isotype Rabbit Ig
Purity Antigen affinity
UniProt O60674
Applications Western Blot : 1:1000
IHC (Paraffin) : 1:10-1:50
Limitations This JAK2 antibody is available for research use only.
Review this product on BioCompare and get a $20 Amazon gift card

Related Products

  • Applications : IF/ICC, IHC-P, WB
    Reactivity : Human, Mouse, Rat
    Rab Mono Image
  • Applications : IHC-P, ICC, WB
    Reactivity : Human, Mouse, Rat
    Rab Mono Image
  • Applications : WB, IF, FACS, ELISA
    Reactivity : Human, Mouse
  • Applications : WB, ELISA
    Reactivity : Human
    Pred. Reactivity : Mouse, Rat, Pig, Chicken
  • Applications : WB, ELISA
    Reactivity : Human
    Pred. Reactivity : Mouse, Rat, Pig, Chicken

Description

This gene product is a protein tyrosine kinase involved in a specific subset of cytokine receptor signaling pathways. It has been found to be constituitively associated with the prolactin receptor and is required for responses to gamma interferon. Mice that do not express an active protein for this gene exhibit embryonic lethality associated with the absence of definitive erythropoiesis.

Application Notes

Titration of the JAK2 antibody may be required due to differences in protocols and secondary/substrate sensitivity.

Immunogen

A portion of amino acids 666-694 from the human protein was used as the immunogen for this JAK2 antibody.

Storage

Aliquot the JAK2 antibody and store frozen at -20oC or colder. Avoid repeated freeze-thaw cycles.

Cross
Bulk Quote Request Form
Name*:
Organization*:
Email*:
Phone Number*:
Catalog No.*:
Comments and Specifics(amount, formulation, etc.)*:
Validation code: Captchapackage Image


Can't read the image? click here to refresh.
    *required field

Your bulk quote request has been submitted successfully!

Please contact us if you have any questions.