• Tel: 858.663.9055
  • SeparatorEmail: info@nsjbio.com
  • Tel: 858.663.9055
  • Email: info@nsjbio.com
Home >> Antibodies >> JAG2 Antibody / Jagged 2

JAG2 Antibody / Jagged 2 (RQ8756)

  Catalog No Formulation Size Price (USD)  
Image RQ8756 0.5mg/ml if reconstituted with 0.2ml sterile DI water 100 ug 439
Bulk quote request
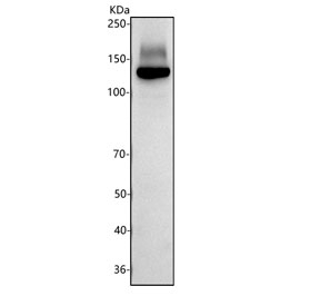
Western blot testing of human HeLa cell lysate with JAG2 antibody. Predicted molecular weight ~133 kDa, may be observed at higher molecular weights due to glycosylation.
Availability 1-3 days
Species Reactivity Human
Format Antigen affinity purified
Clonality Polyclonal (rabbit origin)
Isotype Rabbit IgG
Purity Antigen affinity chromatography
Buffer Lyophilized from 1X PBS with 2% Trehalose
UniProt Q9Y219
Applications Western Blot : 1-2ug/ml
ELISA : 0.1-0.5ug/ml
Limitations This JAG2 antibody is available for research use only.
Review this product on BioCompare and get a $20 Amazon gift card

Description

Protein jagged-2, also known as SER2, is a protein that in humans is encoded by the JAG2 gene. It is mapped to 14q32.33. The protein encoded by this gene is one of several ligands that activate Notch and related receptors. Notch ligands Delta1 and JAG2 are subject to presenilin-dependent, intramembranous gamma-secretase processing, resulting in the production of soluble intracellular derivatives. JAG2 can promote the growth and dissemination of uveal melanoma cells.

Application Notes

Optimal dilution of the JAG2 antibody should be determined by the researcher.

Immunogen

An E.coli-derived human recombinant protein (amino acids Q22-N1153) was used as the immunogen for the JAG2 antibody.

Storage

After reconstitution, the JAG2 antibody can be stored for up to one month at 4oC. For long-term, aliquot and store at -20oC. Avoid repeated freezing and thawing.

Cross
Bulk Quote Request Form
Name*:
Organization*:
Email*:
Phone Number*:
Catalog No.*:
Comments and Specifics(amount, formulation, etc.)*:
Validation code: Captchapackage Image


Can't read the image? click here to refresh.
    *required field

Your bulk quote request has been submitted successfully!

Please contact us if you have any questions.