• Tel: 858.663.9055
  • SeparatorEmail: info@nsjbio.com
  • Tel: 858.663.9055
  • Email: info@nsjbio.com
Home >> Antibodies >> ITPRIP Antibody / Inositol 1, 4, 5-trisphosphate receptor-interacting protein

ITPRIP Antibody / Inositol 1, 4, 5-trisphosphate receptor-interacting protein (RQ8811)

  Catalog No Formulation Size Price (USD)  
Image RQ8811 0.5mg/ml if reconstituted with 0.2ml sterile DI water 100 ug 439
Bulk quote request
Immunofluorescent staining of FFPE human A549 cells with ITPRIP antibody (red) and DAPI nuclear stain (blue). HIER: steam section in pH6 citrate buffer for 20 min.
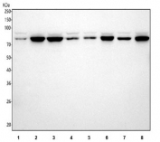
Western blot testing of 1) human A549, 2) human MCF7, 3) human HeLa, 4) human U-251, 5) rat brain, 6) rat C6, 7) mouse brain and 8) mouse NIH 3T3 cell lysate with ITPRIP antibody. Predicted molecular weight ~62 kDa but may be observed at higher molecular weights due to glycosylation.
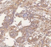
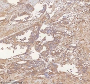
IHC staining of FFPE human pancreas ductal adenocarcinoma tissue with ITPRIP antibody. HIER: boil tissue sections in pH8 EDTA for 20 min and allow to cool before testing.
IHC staining of FFPE human pancreas ductal adenocarcinoma tissue with ITPRIP antibody. HIER: boil tissue sections in pH8 EDTA for 20 min and allow to cool before testing.
Availability 1-3 days
Species Reactivity Human, Mouse, Rat
Format Antigen affinity purified
Clonality Polyclonal (rabbit origin)
Isotype Rabbit IgG
Purity Antigen affinity chromatography
Buffer Lyophilized from 1X PBS with 2% Trehalose
UniProt Q8IWB1
Localization Cell membrane, nuclear membrane
Applications Western Blot : 1-2ug/ml
Immunohistochemistry (FFPE) : 2-5ug/ml
Immunofluorescence : 5ug/ml
ELISA : 0.1-0.5ug/ml
Limitations This ITPRIP antibody is available for research use only.
Review this product on BioCompare and get a $20 Amazon gift card

Description

This gene encodes a membrane-associated protein that binds the inositol 1,4,5-trisphosphate receptor (ITPR). The encoded protein enhances the sensitivity of ITPR to intracellular calcium signaling. Alternative splicing results in multiple transcript variants.

Application Notes

Optimal dilution of the ITPRIP antibody should be determined by the researcher.

Immunogen

An E.coli-derived human recombinant protein (amino acids R161-Q542) was used as the immunogen for the ITPRIP antibody.

Storage

After reconstitution, the ITPRIP Antibody can be stored for up to one month at 4oC. For long-term, aliquot and store at -20oC. Avoid repeated freezing and thawing.

Cross
Bulk Quote Request Form
Name*:
Organization*:
Email*:
Phone Number*:
Catalog No.*:
Comments and Specifics(amount, formulation, etc.)*:
Validation code: Captchapackage Image


Can't read the image? click here to refresh.
    *required field

Your bulk quote request has been submitted successfully!

Please contact us if you have any questions.