• Tel: 858.663.9055
  • SeparatorEmail: info@nsjbio.com
  • Tel: 858.663.9055
  • Email: info@nsjbio.com
Home >> Antibodies >> ITPR3 Antibody

ITPR3 Antibody (R32229)

  Catalog No Formulation Size Price (USD)  
Image R32229 0.5mg/ml if reconstituted with 0.2ml sterile DI water 100 ug 439
Bulk quote request
Western blot testing of 1) human HeLa and 2) SW620 lysate with ITPR3 antibody. Predicted molecular weight ~300 kDa.
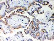
IHC testing of FFPE human lung cancer with ITPR3 antibody. HIER: Boil the paraffin sections in pH 6, 10mM citrate buffer for 20 minutes and allow to cool prior to staining.
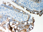
IHC testing of FFPE mouse intestine with ITPR3 antibody. HIER: Boil the paraffin sections in pH 6, 10mM citrate buffer for 20 minutes and allow to cool prior to staining.
IHC testing of FFPE rat intestine with ITPR3 antibody. HIER: Boil the paraffin sections in pH 6, 10mM citrate buffer for 20 minutes and allow to cool prior to staining.
Availability 1-3 business days
Species Reactivity Human, Mouse, Rat
Format Antigen affinity purified
Clonality Polyclonal (rabbit origin)
Isotype Rabbit IgG
Purity Antigen affinity
Buffer Lyophilized from 1X PBS with 2.5% BSA and 0.025% sodium azide
UniProt Q14573
Applications Western Blot : 0.1-0.5ug/ml
Immunohistochemistry (FFPE) : 0.5-1ug/ml
Limitations This ITPR3 antibody is available for research use only.
Review this product on BioCompare and get a $20 Amazon gift card

Description

ITPR3 encodes a receptor for inositol 1,4,5-trisphosphate, a second messenger that mediates the release of intracellular calcium. The receptor contains a calcium channel at the C-terminus and the ligand-binding site at the N-terminus. Knockout studies in mice suggest that type 2 and type 3 inositol 1,4,5-trisphosphate receptors play a key role in exocrine secretion underlying energy metabolism and growth. ITP3 channels serve an important role in the taste transduction pathway of sweet, bitter and umami tastes the gustatory system. ITP3 channels allow the flow of Calcium out of the endoplasmic reticulum in response to IP3. Calcium cations result in the activation of TRPM5 which leads to a depolarisation generating potential and an action potential.

Application Notes

Optimal dilution of the ITPR3 antibody should be determined by the researcher.

Immunogen

Amino acids QYWKAKQTKQDKEKIADVVLLQKLQH of human ITPR3 were used as the immunogen for the ITPR3 antibody.

Storage

After reconstitution, the ITPR3 antibody can be stored for up to one month at 4oC. For long-term, aliquot and store at -20oC. Avoid repeated freezing and thawing.

Cross
Bulk Quote Request Form
Name*:
Organization*:
Email*:
Phone Number*:
Catalog No.*:
Comments and Specifics(amount, formulation, etc.)*:
Validation code: Captchapackage Image


Can't read the image? click here to refresh.
    *required field

Your bulk quote request has been submitted successfully!

Please contact us if you have any questions.