• Tel: 858.663.9055
  • SeparatorEmail: info@nsjbio.com
  • Tel: 858.663.9055
  • Email: info@nsjbio.com
Home >> Antibodies >> ITGB4 Antibody / Integrin beta 4

ITGB4 Antibody / Integrin beta 4 (RQ5890)

  Catalog No Formulation Size Price (USD)  
Image RQ5890 0.5mg/ml if reconstituted with 0.2ml sterile DI water 100 ug 439
Bulk quote request
Immunofluorescent staining of FFPE human intestinal cancer with ITGB4 antibody (green) and DAPI (blue). HIER: boil tissue sections in pH8 EDTA for 20 min and allow to cool before testing.
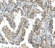
IHC staining of FFPE human rectal cancer with ITGB4 antibody. HIER: boil tissue sections in pH8 EDTA for 20 min and allow to cool before testing.
IHC staining of FFPE human lung cancer with ITGB4 antibody. HIER: boil tissue sections in pH8 EDTA for 20 min and allow to cool before testing.
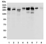
Western blot testing of human 1) A549, 2) PC-3, 3) T47-D, 4) HeLa, 5) SW620, 6) Caco-2, 7) rat ovary and 8) mouse ovary lysate with ITGB4 antibody. Predicted molecular weight ~200 kDa.
Flow cytometry testing of human Raji cells with ITGB4 antibody at 1ug/million cells (blocked with goat sera); Red=cells alone, Green=isotype control, Blue= ITGB4 antibody.
Availability 1-3 business days
Species Reactivity Human, Mouse, Rat
Format Antigen affinity purified
Clonality Polyclonal (rabbit origin)
Isotype Rabbit IgG
Purity Affinity purified
Buffer Lyophilized from 1X PBS with 2% Trehalose and 0.025% sodium azide
UniProt P16144
Applications Western Blot : 0.5-1ug/ml
Immunohistochemistry : 1-2ug/ml
Immunofluorescence : 2-4ug/ml
Flow Cytometry : 1-3ug/million cells
Direct ELISA : 0.1-0.5ug/ml
Limitations This ITGB4 antibody is available for research use only.
Review this product on BioCompare and get a $20 Amazon gift card

Related Products

Description

ITGB4 (Integrin, beta-4), also known as CD104 (Cluster of Differentiation 104), is a human gene. The gene encodes the integrin beta 4 subunits, a receptor for the laminins. This subunit tends to associate with alpha 6 subunits and is likely to play a pivotal role in the biology of invasive carcinoma. The ITGB4 gene is mapped on 17q25.1. Using expression profiling, Yang et al. found that ITGB4 was upregulated 6-fold by ZKSCAN3 in transfected human colon cancer cells compared with parental cells. They confirmed that ZKSCAN3 bound the promoter of ITGB4 in vitro and in vivo. ITGB4 knockdown by short hairpin RNA countered ZKSCAN3-augmented anchorage-independent colony formation in the colon cancer cell lines. The integrin beta-4 subunit is characterized by an unusually long cytoplasmic domain that harbors 4 fibronectin type III (FNIII) repeats, residing in 2 pairs separated by a connecting segment. Vidal et al. found compound heterozygosity for mutations in the ITGB4 gene in an infant with junctional epidermolysis bullosa associated with pyloric atresia.

Application Notes

Optimal dilution of the ITGB4 antibody should be determined by the researcher.

Immunogen

Recombinant human protein (amino acids R29-K431) was used as the immunogen for the ITGB4 antibody.

Storage

After reconstitution, the ITGB4 antibody can be stored for up to one month at 4oC. For long-term, aliquot and store at -20oC. Avoid repeated freezing and thawing.

Cross
Bulk Quote Request Form
Name*:
Organization*:
Email*:
Phone Number*:
Catalog No.*:
Comments and Specifics(amount, formulation, etc.)*:
Validation code: Captchapackage Image


Can't read the image? click here to refresh.
    *required field

Your bulk quote request has been submitted successfully!

Please contact us if you have any questions.