• Tel: 858.663.9055
  • SeparatorEmail: info@nsjbio.com
  • Tel: 858.663.9055
  • Email: info@nsjbio.com
Home >> Antibodies >> ITGB4 Antibody / Integrin beta 4 / CD104

ITGB4 Antibody / Integrin beta 4 / CD104 (R31440)

  Catalog No Formulation Size Price (USD)  
Image R31440 0.5mg/ml if reconstituted with 0.2ml sterile DI water 100 ug 439
Bulk quote request
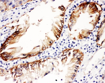
IHC staining of FFPE human intestinal cancer with ITGB4 antibody at 1ug/ml. HIER: boil tissue sections in pH6, 10mM citrate buffer, for 10-20 min and allow to cool before testing.
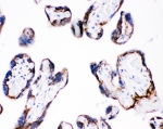
IHC staining of FFPE human placenta with ITGB4 antibody at 1ug/ml. HIER: boil tissue sections in pH6, 10mM citrate buffer, for 10-20 min and allow to cool before testing.
Western blot testing of ITGB4 antibody and recombinant human protein (0.5ng).
Western blot testing of human 1) A549, 2) PC-3, 3) T-47D, 4) HeLa and 5) Caco-2 cell lysate with ITGB4 antibody at 0.5ug/ml. Predicted molecular weight ~200 kDa.
Immunofluorescent staining of FFPE human placenta with ITGB4 antibody (green) at 1ug/ml. HIER: boil tissue sections in pH6, 10mM citrate buffer, for 10-20 min and allow to cool before testing.
Flow cytometry testing of human A431 cells with ITGB4 antibody at 1ug/10^6 cells (blocked with goat sera); Red=cells alone, Green=isotype control, Blue= ITGB4 antibody.
Availability 1-3 business days
Species Reactivity Human
Format Antigen affinity purified
Clonality Polyclonal (rabbit origin)
Isotype Rabbit IgG
Purity Antigen affinity
Buffer Lyophilized from 1X PBS with 2.5% BSA and 0.025% sodium azide
UniProt P16144
Applications Western Blot : 0.5-1ug/ml
Immunohistochemistry (FFPE) : 0.5-1ug/ml
Immunofluorescence (FFPE) : 1-2ug/ml
Flow Cytometry : 1-3ug/10^6 cells
Limitations This ITGB4 antibody is available for research use only.
Review this product on BioCompare and get a $20 Amazon gift card

Related Products

Description

ITGB4, also known as CD104, is a receptor for the laminin proteins. It tends to associate with alpha 6 subunits and is likely to play a pivotal role in the biology of invasive carcinoma. It was found that ITGB4 was upregulated 6-fold by ZKSCAN3 in transfected human colon cancer cells compared with parental cells and ZKSCAN3 has been confirmed as the promoter of ITGB4 in vitro and in vivo. ITGB4 knockdown by short hairpin RNA countered ZKSCAN3-augmented anchorage-independent colony formation in the colon cancer cell lines.

Application Notes

Titration of the ITGB4 antibody may be required due to differences in protocols and secondary/substrate sensitivity.

Immunogen

Human partial recombinant protein (AA 28-266) was used as the immunogen for this ITGB4 antibody.

Storage

After reconstitution, the ITGB4 antibody can be stored for up to one month at 4oC. For long-term, aliquot and store at -20oC. Avoid repeated freezing and thawing.

Cross
Bulk Quote Request Form
Name*:
Organization*:
Email*:
Phone Number*:
Catalog No.*:
Comments and Specifics(amount, formulation, etc.)*:
Validation code: Captchapackage Image


Can't read the image? click here to refresh.
    *required field

Your bulk quote request has been submitted successfully!

Please contact us if you have any questions.