• Tel: 858.663.9055
  • SeparatorEmail: info@nsjbio.com
  • Tel: 858.663.9055
  • Email: info@nsjbio.com
Home >> Antibodies >> ITGB3 Antibody / Integrin beta 3 / CD61

ITGB3 Antibody / Integrin beta 3 / CD61 [clone BFE-9] (RQ5102)

  Catalog No Formulation Size Price (USD)  
Image RQ5102 Antibody in PBS with 0.02% sodium azide, 50% glycerol and 0.4-0.5mg/ml BSA 100 ul 439
Microvalidated Rab Mono Image
Bulk quote request
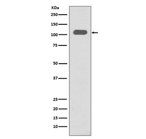
Western blot testing of human spleen lysate with ITGB3 antibody. Expected molecular weight: 87-110 kDa depending on glycosylation level.
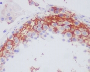
IHC staining of FFPE human testis tissue with ITGB3 antibody. HIER: boil tissue sections in pH6, 10mM citrate buffer, for 10-20 min and allow to cool before testing.
Availability 1-2 weeks
Species Reactivity Human
Format Purified
Clonality Rabbit Monoclonal
Isotype Rabbit IgG
Clone Name BFE-9
Purity Affinity purified
UniProt P05106
Applications Western Blot : 1:1000-1:2000
Immunohistochemistry (FFPE) : 1:50-1:200
Limitations This ITGB3 antibody is available for research use only.
Review this product on BioCompare and get a $20 Amazon gift card

Related Products

Description

The ITGB3 protein product is the integrin beta chain beta 3. Integrins are integral cell-surface proteins composed of an alpha chain and a beta chain. A given chain may combine with multiple partners resulting in different integrins. Integrin beta 3 is found along with the alpha IIb chain in platelets. Integrins are known to participate in cell adhesion as well as cell-surface mediated signalling. [RefSeq]

Application Notes

Optimal dilution of the ITGB3 antibody should be determined by the researcher.

Immunogen

A synthetic peptide specific to human Integrin beta 3 was used as the immunogen for the ITGB3 antibody.

Storage

Store the ITGB3 antibody at -20oC.

Cross
Bulk Quote Request Form
Name*:
Organization*:
Email*:
Phone Number*:
Catalog No.*:
Comments and Specifics(amount, formulation, etc.)*:
Validation code: Captchapackage Image


Can't read the image? click here to refresh.
    *required field

Your bulk quote request has been submitted successfully!

Please contact us if you have any questions.