• Tel: 858.663.9055
  • SeparatorEmail: info@nsjbio.com
  • Tel: 858.663.9055
  • Email: info@nsjbio.com
Home >> Antibodies >> ITCH Antibody / AIF4

ITCH Antibody / AIF4 (R32307)

  Catalog No Formulation Size Price (USD)  
Image R32307 0.5mg/ml if reconstituted with 0.2ml sterile DI water 100 ug 439
Bulk quote request
Flow cytometry testing of fixed and permeabilized human SiHa cells with ITCH antibody at 1ug/million cells (blocked with goat sera); Red=cells alone, Green=isotype control, Blue= ITCH antibody.
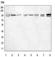
Western blot testing of 1) human K562, 2) human Raji, 3) human 293T, 4) monkey COS7, 5) human HepG2, 6) human A549, 7) rat C6 and 8) mouse NIH 3T3 cell lysate with ITCH antibody. Predicted molecular weight: 86/99/102 kDa (multiple isoforms).
Availability 1-3 business days
Species Reactivity Human, Mouse, Rat, Monkey
Format Antigen affinity purified
Clonality Polyclonal (rabbit origin)
Isotype Rabbit IgG
Purity Antigen affinity
Buffer Lyophilized from 1X PBS with 2% Trehalose
UniProt Q96J02
Applications Western Blot : 0.5-1ug/ml
Flow Cytometry : 1-3ug/million cells
Limitations This ITCH antibody is available for research use only.
Review this product on BioCompare and get a $20 Amazon gift card

Related Products

  • Applications : WB, ELISA (peptide)
    Reactivity : Human
    Pred. Reactivity : Mouse, Rat, Dog
  • Applications : WB, IHC-P, IF, FACS, Direct ELISA
    Reactivity : Human, Mouse, Rat

Description

ITCH is an ubiquitin-conjugating enzyme. This gene encodes a member of the Nedd4 family of HECT domain E3 ubiquitin ligases. HECT domain E3 ubiquitin ligases transfer ubiquitin from E2 ubiquitin-conjugating enzymes to protein substrates, thus targeting specific proteins for lysosomal degradation. The encoded protein plays a role in multiple cellular processes including erythroid and lymphoid cell differentiation and the regulation of immune responses. Mutations in this gene are a cause of syndromic multisystem autoimmune disease. Alternatively spliced transcript variants encoding multiple isoforms have been observed for this gene.

Application Notes

Optimal dilution of the ITCH antibody should be determined by the researcher.

Immunogen

Amino acids AMQQFNQRFIYGNQDLFATSQSKEFDPL of human ITCH were used as the immunogen for the ITCH antibody.

Storage

After reconstitution, the ITCH antibody can be stored for up to one month at 4oC. For long-term, aliquot and store at -20oC. Avoid repeated freezing and thawing.

Cross
Bulk Quote Request Form
Name*:
Organization*:
Email*:
Phone Number*:
Catalog No.*:
Comments and Specifics(amount, formulation, etc.)*:
Validation code: Captchapackage Image


Can't read the image? click here to refresh.
    *required field

Your bulk quote request has been submitted successfully!

Please contact us if you have any questions.