• Tel: 858.663.9055
  • SeparatorEmail: info@nsjbio.com
  • Tel: 858.663.9055
  • Email: info@nsjbio.com
Home >> Antibodies >> Isg15 Antibody

Isg15 Antibody (R32374)

  Catalog No Formulation Size Price (USD)  
Image R32374 0.5mg/ml if reconstituted with 0.2ml sterile DI water 100 ug 439
Bulk quote request
Western blot testing of mouse 1) intestine and 2) spleen lysate with Isg15 antibody. Expected molecular weight: 15-17 kDa.
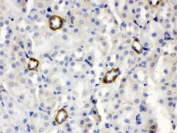
IHC testing of FFPE mouse kidney with Isg15 antibody. HIER: Boil the paraffin sections in pH 6, 10mM citrate buffer for 20 minutes and allow to cool prior to testing.
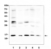
Western blot testing of mouse 1) spleen, 2) heart, 3) lung, 4) liver and 5) kidney tissue lysate with Isg15 antibody. Expected molecular weight: 15-17 kDa.
Availability 1-3 business days
Species Reactivity Mouse
Format Antigen affinity purified
Clonality Polyclonal (rabbit origin)
Isotype Rabbit IgG
Purity Antigen affinity
Buffer Lyophilized from 1X PBS with 2.5% BSA and 0.025% sodium azide
UniProt Q64339
Localization Cytoplasmic
Applications Western Blot : 0.1-0.5ug/ml
IHC (FFPE) : 0.5-1ug/ml
Limitations This Isg15 antibody is available for research use only.
Review this product on BioCompare and get a $20 Amazon gift card

Related Products

  • Applications : WB
    Reactivity : Human
    Rab Mono Image
  • Applications : WB, IHC, ELISA
    Reactivity : Human
  • Applications : WB, ELISA
    Reactivity : Human
  • Applications : WB, ELISA
    Reactivity : Human
  • Applications : WB, IHC-P
    Reactivity : Human

Description

Interferon-stimulated gene 15 (ISG15) is a 17 kDA secreted protein that in humans is encoded by the ISG15 gene. The protein encoded by this gene is a ubiquitin-like protein that is conjugated to intracellular target proteins upon activation by interferon-alpha and interferon-beta. Several functions have been ascribed to the encoded protein, including chemotactic activity towards neutrophils, direction of ligated target proteins to intermediate filaments, cell-to-cell signaling, and antiviral activity during viral infections. While conjugates of this protein have been found to be noncovalently attached to intermediate filaments, this protein is sometimes secreted.

Application Notes

Optimal dilution of the Isg15 antibody should be determined by the researcher.

Immunogen

Amino acids A2-G155 from the mouse protein were used as the immunogen for the Isg15 antibody.

Storage

After reconstitution, the Isg15 antibody can be stored for up to one month at 4oC. For long-term, aliquot and store at -20oC. Avoid repeated freezing and thawing.

Cross
Bulk Quote Request Form
Name*:
Organization*:
Email*:
Phone Number*:
Catalog No.*:
Comments and Specifics(amount, formulation, etc.)*:
Validation code: Captchapackage Image


Can't read the image? click here to refresh.
    *required field

Your bulk quote request has been submitted successfully!

Please contact us if you have any questions.