• Tel: 858.663.9055
  • SeparatorEmail: info@nsjbio.com
  • Tel: 858.663.9055
  • Email: info@nsjbio.com
Home >> Antibodies >> ISG15 Antibody

ISG15 Antibody (F41498)

  Catalog No Formulation Size Price (USD)  
Image F41498-0.4ML In 1X PBS, pH 7.4, with 0.09% sodium azide 0.4 ml 429
Image
F41498-0.08ML In 1X PBS, pH 7.4, with 0.09% sodium azide 0.08 ml 199
Bulk quote request
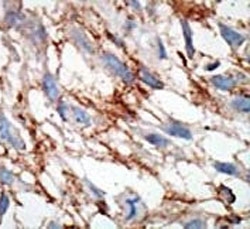
IHC analysis of FFPE human breast carcinoma tissue stained with the ISG15 antibody
Western blot analysis of ISG15 antibody and 293 cell lysate (2 ug/lane) either nontransfected (Lane 1) or transiently transfected with the ISG15 gene (2). Expected molecular weight: 15-17 kDa.
ISG15 antibody western blot analysis in 293 lysate. Expected molecular weight: 15-17 kDa.
ISG15 antibody western blot analysis in Jurkat, K562 and AML-2 lysate treated with CQ (0/10/20/30uM) for 24 hours. (Courtesy of Biyin Cao, Soochow University, Center for Blood Research)
Availability 1-3 business days
Species Reactivity Human
Format Antigen affinity purified
Clonality Polyclonal (rabbit origin)
Isotype Rabbit Ig
Purity Antigen affinity
UniProt P05161
Localization Cytoplasmic
Applications IHC (Paraffin) : 1:50-1:100
Western Blot : 1:1000
Limitations This ISG15 antibody is available for research use only.
Review this product on BioCompare and get a $20 Amazon gift card

Related Products

  • Applications : WB
    Reactivity : Human
    Rab Mono Image
  • Applications : WB, ELISA
    Reactivity : Human
  • Applications : WB, ELISA
    Reactivity : Human
  • Applications : WB, IHC-P
    Reactivity : Human
  • Applications : WB, IHC-P
    Reactivity : Mouse

Description

ISG15 is secreted from monocytes in response to type I interferons and causes natural killer (NK)-cell proliferation and an augmentation of non-MCH (major histocompatibility complex)-restricted cytotoxicity. Synthesis is stimulated by IFN-alpha or IFN-beta or IFN-omega , but not IFN-gamma . ISG15 expression is also induced by overexpression of interferon regulatory factors that participate in transcriptional regulation of IFN genes, and by influenza B virus. ISG15 is secreted also by cell lines of monocyte, T-lymphocyte, B-lymphocyte, human fibroblasts, and epithelial origins. The induction of terminal differentiation in human melanoma cells is associated with alterations in ISG15 expression. Enhancement of NK cell proliferation, augmentation of non-major histocompatibility complex-restricted cytotoxicity, and induction of IFN-gamma from T cells identify ISG15 as a member of the cytokine cascade and suggest that it may be responsible for amplifying and directing some of the immunomodulatory effects of IFN-alpha or IFN-beta. ISG15 has has also been shown to function intracellularly as a ubiquitin homolog.

Application Notes

Titration of the ISG15 antibody may be required due to differences in protocols and secondary/substrate sensitivity.

Immunogen

A portion of amino acids 31-61 from the human protein was used as the immunogen for this ISG15 antibody.

Storage

Aliquot the ISG15 antibody and store frozen at -20oC or colder. Avoid repeated freeze-thaw cycles.

Cross
Bulk Quote Request Form
Name*:
Organization*:
Email*:
Phone Number*:
Catalog No.*:
Comments and Specifics(amount, formulation, etc.)*:
Validation code: Captchapackage Image


Can't read the image? click here to refresh.
    *required field

Your bulk quote request has been submitted successfully!

Please contact us if you have any questions.