• Tel: 858.663.9055
  • SeparatorEmail: info@nsjbio.com
  • Tel: 858.663.9055
  • Email: info@nsjbio.com
Home >> Antibodies >> IRF9 Antibody / Interferon regulatory factor 9

IRF9 Antibody / Interferon regulatory factor 9 (R32622)

  Catalog No Formulation Size Price (USD)  
Image R32622 0.5mg/ml if reconstituted with 0.2ml sterile DI water 100 ug 439
Bulk quote request
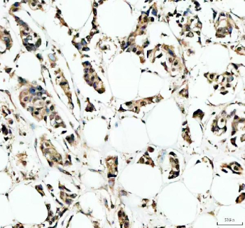
IHC staining of FFPE human breast cancer tissue with IRF9 antibody, HRP-secondary and DAB substrate. HIER: boil tissue sections in pH8 EDTA for 20 min and allow to cool before testing.
Immunofluorescent staining of FFPE human U-2 OS cells with IRF9 antibody (green) and Alpha Tubulin mAb (red). HIER: steam section in pH6 citrate buffer for 20 min.
Western blot testing of human 1) SiHa, 2) A431 and 3) PC-3 cell lysate with IRF9 antibody at 0.5ug/ml. Predicted molecular weight: 44-48 kDa.
Flow cytometry testing of fixed and permeabilized human PC-3 cells with IRF9 antibody at 1ug/million cells (blocked with goat sera); Red=cells alone, Green=isotype control, Blue= IRF9 antibody.
Availability 1-3 business days
Species Reactivity Human
Format Antigen affinity purified
Clonality Polyclonal (rabbit origin)
Isotype Rabbit IgG
Purity Antigen affinity
Buffer Lyophilized from 1X PBS with 2% Trehalose
UniProt Q00978
Localization Nuclear, cytoplasmic
Applications Western Blot : 0.5-1ug/ml
Immunohistochemistry (FFPE) : 2-5ug/ml
Immunofluorescence : 5ug/ml
Flow Cytometry : 1-3ug/million cells
Limitations This IRF9 antibody is available for research use only.
Review this product on BioCompare and get a $20 Amazon gift card

Related Products

Description

IRF9 (Interferon regulatory factor 9) is a key transcriptional regulator involved in the type I interferon signaling pathway. It forms a complex with STAT1 and STAT2 known as ISGF3 (interferon-stimulated gene factor 3), which translocates to the nucleus to activate transcription of interferon-stimulated genes (ISGs). This pathway plays a crucial role in antiviral defense, immune modulation, and inflammatory responses.

IRF9 is expressed in various immune and non-immune cells and is upregulated in response to interferon stimulation. It is essential for proper immune responses to viral infection and has been studied in the context of host–pathogen interactions, autoimmune conditions, and cancer immunology. Its central role in IFN signaling makes it a reliable marker for assessing cellular response to cytokine stimulation.

The IRF9 antibody is a powerful tool for detecting endogenous IRF9 in applications such as western blot, immunohistochemistry, and immunofluorescence. Researchers use the IRF9 antibody from NSJ Bioreagents to study the dynamics of interferon signaling, examine protein expression across tissues, and explore transcriptional regulation under immune challenge. With high specificity and consistent performance, the IRF9 antibody supports advanced research in immunology, virology, and cytokine signaling networks.

Application Notes

Optimal dilution of the IRF9 antibody should be determined by the researcher.

Immunogen

A human recombinant protein corresponding to amino acids M1-K110 was used as the immunogen for the IRF9 antibody.

Storage

After reconstitution, the IRF9 antibody can be stored for up to one month at 4oC. For long-term, aliquot and store at -20oC. Avoid repeated freezing and thawing.

Cross
Bulk Quote Request Form
Name*:
Organization*:
Email*:
Phone Number*:
Catalog No.*:
Comments and Specifics(amount, formulation, etc.)*:
Validation code: Captchapackage Image


Can't read the image? click here to refresh.
    *required field

Your bulk quote request has been submitted successfully!

Please contact us if you have any questions.