• Tel: 858.663.9055
  • SeparatorEmail: info@nsjbio.com
  • Tel: 858.663.9055
  • Email: info@nsjbio.com
Home >> Antibodies >> IRF8 Antibody

IRF8 Antibody (R35441)

  Catalog No Formulation Size Price (USD)  
Image R35441-100UG 0.5 mg/ml in 1X TBS, pH7.3, with 0.5% BSA (US sourced) and 0.02% sodium azide 100 ug 449
Bulk quote request
Western blot testing of K562 lysate with IRF8 antibody at 1ug/ml. Predicted molecular weight ~48 kDa.
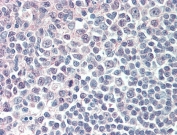
IHC testing of FFPE human tonsil tissue with IRF8 antibody at 5ug/ml. Steamed antigen retrieval with citrate buffer pH 6, AP-staining.
Availability 1-3 business days
Species Reactivity Human
Predicted Reactivity Cow, Mouse, Rat
Format Antigen affinity purified
Clonality Polyclonal (goat origin)
Isotype Goat Ig
Purity Antigen affinity
Gene ID 3394
Applications Western Blot : 0.5-2ug/ml
IHC (FFPE) : 5-10ug/ml
ELISA (peptide) LOD : 1:8000
Limitations This IRF8 antibody is available for research use only.
Review this product on BioCompare and get a $20 Amazon gift card

Related Products

Description

Additional name(s) for this target protein: Interferon regulatory factor 8, ICSBP1, interferon consensus sequence binding protein 1

Application Notes

Optimal dilution of the IRF8 antibody should be determined by the researcher.

Immunogen

Amino acids QRSFFRENQQITV were used as the immunogen for this IRF8 antibody.

Storage

Aliquot and store the IRF8 antibody at -20oC.

Cross
Bulk Quote Request Form
Name*:
Organization*:
Email*:
Phone Number*:
Catalog No.*:
Comments and Specifics(amount, formulation, etc.)*:
Validation code: Captchapackage Image


Can't read the image? click here to refresh.
    *required field

Your bulk quote request has been submitted successfully!

Please contact us if you have any questions.