• Tel: 858.663.9055
  • SeparatorEmail: info@nsjbio.com
  • Tel: 858.663.9055
  • Email: info@nsjbio.com
Home >> Antibodies >> IRF6 Antibody

IRF6 Antibody (R36249)

  Catalog No Formulation Size Price (USD)  
Image R36249-100UG 0.5 mg/ml in 1X TBS, pH7.3, with 0.5% BSA (US sourced) and 0.02% sodium azide 100 ug 449
Bulk quote request
Western blot testing of human ovay lysate with IRF6 antibody at 0.2ug/ml. Predicted molecular weight: ~53/42 kDa (isoforms 1/2).
Western blot of HEK293 lysate overexpressing IRF6 and probed with IRF6 antibody (mock transfection in lane 1). Predicted molecular weight: ~53/42 kDa (isoforms 1/2).
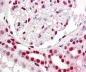
IHC staining of FFPE human kidney with IRF6 antibody at 2.5ug/ml. HIER: steamed with pH6 citrate buffer, AP-staining.
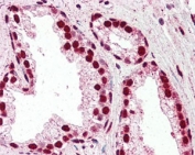
IHC staining of FFPE human prostate tissue with IRF6 antibody at 2.5ug/ml. HIER: steamed with pH6 citrate buffer, AP-staining.
Availability 1-3 business days
Species Reactivity Human
Predicted Reactivity Mouse
Format Antigen affinity purified
Clonality Polyclonal (goat origin)
Isotype Goat Ig
Purity Antigen affinity
Gene ID 3664
Localization Nuclear, cytoplasmic
Applications Western Blot : 0.2-1ug/ml
Immunohistochemistry (FFPE) : 2-5ug/ml
ELISA (peptide) LOD : 1:32000
Limitations This IRF6 antibody is available for research use only.
Review this product on BioCompare and get a $20 Amazon gift card

Related Products

Description

Additional name(s) for this target protein: Interferon regulatory factor 6

Application Notes

Optimal dilution of the IRF6 antibody should be determined by the researcher.

Immunogen

Amino acids TPSMQLPPALPPQ were used as the immunogen for this IRF6 antibody. The sequence is common to isoforms 1 and 2.

Storage

Aliquot and store the IRF6 antibody at -20oC.

Cross
Bulk Quote Request Form
Name*:
Organization*:
Email*:
Phone Number*:
Catalog No.*:
Comments and Specifics(amount, formulation, etc.)*:
Validation code: Captchapackage Image


Can't read the image? click here to refresh.
    *required field

Your bulk quote request has been submitted successfully!

Please contact us if you have any questions.