• Tel: 858.663.9055
  • SeparatorEmail: info@nsjbio.com
  • Tel: 858.663.9055
  • Email: info@nsjbio.com
Home >> Antibodies >> IRF5 Antibody

IRF5 Antibody (R35281)

  Catalog No Formulation Size Price (USD)  
Image R35281-100UG 0.5 mg/ml in 1X TBS, pH7.3, with 0.5% BSA (US sourced) and 0.02% sodium azide 100 ug 449
Bulk quote request
Western blot testing of A549 lysate with IRF5 antibody at 0.1ug/ml. Predicted molecular weight ~57 kDa.
Western blot of HEK293 lysate overexpressing human IRF5 and probed with IRF5 antibody at 1ug/ml (mock transfection in lane B). Predicted molecular weight ~55kDa.
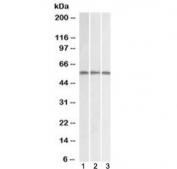
Western blot testing of 1) A549, 2) human spleen and 3) human PBL lysate with IRF5 antibody at 1ug/ml. Predicted molecular weight ~57 kDa.
Availability 1-3 business days
Species Reactivity Human
Predicted Reactivity Cow, Mouse, Rat
Format Antigen affinity purified
Clonality Polyclonal (goat origin)
Isotype Goat Ig
Purity Antigen affinity
Gene ID 3663
Applications Western Blot : 0.1-0.3ug/ml
ELISA (peptide) LOD : 1:32000
Limitations This IRF5 antibody is available for research use only.
Review this product on BioCompare and get a $20 Amazon gift card

Related Products

Description

Additional name(s) for this target protein: Interferon regulatory factor 5

Application Notes

Optimal dilution of the IRF5 antibody should be determined by the researcher.

Immunogen

Amino acids QGPWPMHPAGMQ were used as the immunogen for this IRF5 antibody.

Storage

Aliquot and store the IRF5 antibody at -20oC.

Cross
Bulk Quote Request Form
Name*:
Organization*:
Email*:
Phone Number*:
Catalog No.*:
Comments and Specifics(amount, formulation, etc.)*:
Validation code: Captchapackage Image


Can't read the image? click here to refresh.
    *required field

Your bulk quote request has been submitted successfully!

Please contact us if you have any questions.