• Tel: 858.663.9055
  • SeparatorEmail: info@nsjbio.com
  • Tel: 858.663.9055
  • Email: info@nsjbio.com
Home >> Antibodies >> IRF4 Antibody / Interferon regulatory factor 4 / MUM1

IRF4 Antibody / Interferon regulatory factor 4 / MUM1 [clone MUM1/8274R] (V5164)

  Catalog No Formulation Size Price (USD)  
Image V5164-100UG 0.2 mg/ml in 1X PBS with 0.1 mg/ml BSA (US sourced), 0.05% sodium azide 100 ug 539
Image
V5164-20UG 0.2 mg/ml in 1X PBS with 0.1 mg/ml BSA (US sourced), 0.05% sodium azide 20 ug 249
Image
V5164SAF-100UG 1 mg/ml in 1X PBS; BSA free, sodium azide free 100 ug 539
Microvalidated Recrabbitmono
Bulk quote request
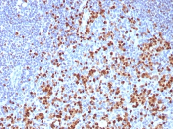
IHC staining of FFPE human tonsil tissue with IRF4 antibody (clone MUM1/8274R). HIER: boil tissue sections in pH 9 10mM Tris with 1mM EDTA for 20 min and allow to cool before testing.
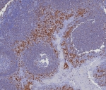
IHC staining of FFPE human tonsil tissue with IRF4 antibody (clone MUM1/8274R). HIER: boil tissue sections in pH 9 10mM Tris with 1mM EDTA for 20 min and allow to cool before testing.
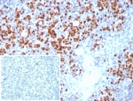
IHC staining of FFPE human tonsil tissue with IRF4 antibody (clone MUM1/8274R). Inset: PBS used in place of primary Ab (secondary Ab negative control). HIER: boil tissue sections in pH 9 10mM Tris with 1mM EDTA for 20 min and allow to cool before testing.
Availability 1-3 business days
Species Reactivity Human
Format Purified
Clonality Recombinant Rabbit Monoclonal
Isotype Rabbit IgG, kappa
Clone Name MUM1/8274R
Purity Protein A/G affinity
UniProt Q15306
Localization Nucleus
Applications Immunohistochemistry (FFPE) : 1-2ug/ml for 30 min at RT
Limitations This IRF4 antibody is available for research use only.
Review this product on BioCompare and get a $20 Amazon gift card

Related Products

Description

Interferon regulatory factor 4 (IRF4), also called Multiple myeloma oncogene 1 (MUM1) is one of nuclear transcription factors necessary for development and activation of B lymphocytes.

Application Notes

Optimal dilution of the IRF4 antibody should be determined by the researcher.

Immunogen

A recombinant partial protein sequence from the C-terminal region of the human protein was used as the immunogen for the IRF4 antibody.

Storage

Aliquot the IRF4 antibody and store frozen at -20oC or colder. Avoid repeated freeze-thaw cycles.

Cross
Bulk Quote Request Form
Name*:
Organization*:
Email*:
Phone Number*:
Catalog No.*:
Comments and Specifics(amount, formulation, etc.)*:
Validation code: Captchapackage Image


Can't read the image? click here to refresh.
    *required field

Your bulk quote request has been submitted successfully!

Please contact us if you have any questions.