• Tel: 858.663.9055
  • SeparatorEmail: info@nsjbio.com
  • Tel: 858.663.9055
  • Email: info@nsjbio.com
Home >> Antibodies >> Irf3 Antibody

Irf3 Antibody (RQ5692)

  Catalog No Formulation Size Price (USD)  
Image RQ5692 0.5mg/ml if reconstituted with 0.2ml sterile DI water 100 ug 439
Bulk quote request
Immunofluorescent staining of FFPE mouse HEPA1-6 cells with Irf3 antibody (red) and DAPI nuclear stain (blue). HIER: steam section in pH6 citrate buffer for 20 min.
IHC staining of FFPE mouse spleen with Irf3 antibody. HIER: boil tissue sections in pH8 EDTA for 20 min and allow to cool before testing.
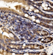
IHC staining of FFPE mouse intestine with Irf3 antibody. HIER: boil tissue sections in pH8 EDTA for 20 min and allow to cool before testing.
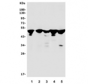
Western blot testing of mouse 1) lung, 2) thymus, 3) RAW264.7, 4), Ana-1 and 5) SP2/0 lysate with Irf3 antibody. Predicted molecular weight ~47 kDa.
Flow cytometry testing of mouse spleen cells with Irf3 antibody at 1ug/million cells (blocked with goat sera); Red=cells alone, Green=isotype control, Blue= Irf3 antibody.
Availability 1-3 business days
Species Reactivity Mouse
Format Antigen affinity purified
Clonality Polyclonal
Isotype Rabbit IgG
Purity Affinity purified
Buffer Lyophilized from 1X PBS with 2% Trehalose and 0.025% sodium azide
UniProt P70671
Localization Nuclear, cytoplasmic
Applications Western Blot : 0.5-1ug/ml
Immunohistochemistry : 1-2ug/ml
Immunofluorescence : 2-4ug/ml
Flow Cytometry : 1-3ug/million cells
Direct ELISA : 0.1-0.5ug/ml
Limitations This Irf3 antibody is available for research use only.
Review this product on BioCompare and get a $20 Amazon gift card

Related Products

Description

IRF3 (interferon regulatory factor 3) is a member of the interferon regulatory transcription factor (IRF) family. The IRF3 gene is mapped on 19q13.33. IRF3 is found in an inactive cytoplasmic form that upon serine/threonine phosphorylation forms a complex with CREBBP. IRF3 plays an important role in the innate immune system's response to viral infection. Aggregated MAVS have been found to activate IRF3 dimerization. Although IRF3 increased transcriptional activity from an ISRE-containing promoter, expression of IRF3 as a Gal4 fusion protein did not activate expression of a chloramphenicol acetyltransferase (CAT) reporter gene containing repeats of the Gal4-binding sites. Translocation of IRF3 was accompanied by an increase in serine and threonine phosphorylation. The transcriptional activators CREBBP and EP300 coimmunoprecipitated with IRF3 only subsequent to viral infection, and the authors stated that these are also subunits of DRAF1.

Application Notes

Optimal dilution of the Irf3 antibody should be determined by the researcher.

Immunogen

Recombinant mouse protein (amino acids M1-I419) was used as the immunogen for the Irf3 antibody.

Storage

After reconstitution, the Irf3 antibody can be stored for up to one month at 4oC. For long-term, aliquot and store at -20oC. Avoid repeated freezing and thawing.

Cross
Bulk Quote Request Form
Name*:
Organization*:
Email*:
Phone Number*:
Catalog No.*:
Comments and Specifics(amount, formulation, etc.)*:
Validation code: Captchapackage Image


Can't read the image? click here to refresh.
    *required field

Your bulk quote request has been submitted successfully!

Please contact us if you have any questions.