• Tel: 858.663.9055
  • SeparatorEmail: info@nsjbio.com
  • Tel: 858.663.9055
  • Email: info@nsjbio.com
Home >> Antibodies >> IRF3 Antibody / Interferon regulatory factor 3

IRF3 Antibody / Interferon regulatory factor 3 [clone PCRP-IRF3-1E11] (V9198)

  Catalog No Formulation Size Price (USD)  
Image V9198-100UG 0.2 mg/ml in 1X PBS with 0.1 mg/ml BSA (US sourced), 0.05% sodium azide 100 ug 539
Image
V9198-20UG 0.2 mg/ml in 1X PBS with 0.1 mg/ml BSA (US sourced), 0.05% sodium azide 20 ug 249
Image
V9198SAF-100UG 1 mg/ml in 1X PBS; BSA free, sodium azide free 100 ug 539
Microvalidated
Bulk quote request
Western blot testing of human MCF-7 cell lysate using IRF3 antibody (clone PCRP-IRF3-1E11). Predicted molecular weight ~47 kDa.
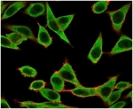
Immunofluorescent staining of human HeLa cells using IRF3 antibody (green, clone PCRP-IRF3-1E11) and phalloidin (red).
SDS-PAGE analysis of purified, BSA-free IRF3 antibody (PCRP-IRF3-1E11) as confirmation of integrity and purity.
Analysis of HuProt(TM) microarray containing more than 19,000 full-length human proteins using IRF3 antibody (clone PCRP-IRF3-1E11). These results demonstrate the foremost specificity of the PCRP-IRF3-1E11 mAb. Z- and S- score: The Z-score represents the strength of a signal that an antibody (in combination with a fluorescently-tagged anti-IgG secondary Ab) produces when binding to a particular protein on the HuProt(TM) array. Z-scores are described in units of standard deviations (SD's) above the mean value of all signals generated on that array. If the targets on the HuProt(TM) are arranged in descending order of the Z-score, the S-score is the difference (also in units of SD's) between the Z-scores. The S-score therefore represents the relative target specificity of an Ab to its intended target.
Availability 1-3 business days
Species Reactivity Human
Format Purified
Clonality Monoclonal (mouse origin)
Isotype Mouse IgG1, kappa
Clone Name PCRP-IRF3-1E11
Purity Protein A/G affinity
UniProt Q14653
Localization Cytoplasm, Nucleus
Applications Immunofluorescence : 1-2ug/ml
Western Blot : 1-2ug/ml
Limitations This IRF3 antibody is available for research use only.
Review this product on BioCompare and get a $20 Amazon gift card

Related Products

Description

Interferon regulatory factor 3 is a key transcription factor regulating the IFN response during SARS-CoV-2 infection. [UniProt]

Application Notes

Optimal dilution of the IRF3 antibody should be determined by the researcher.

Immunogen

Recombinant full-length human IRF3 protein was used as the immunogen for the IRF3 antibody.

Storage

Aliquot the IRF3 antibody and store frozen at -20oC or colder. Avoid repeated freeze-thaw cycles.

Cross
Bulk Quote Request Form
Name*:
Organization*:
Email*:
Phone Number*:
Catalog No.*:
Comments and Specifics(amount, formulation, etc.)*:
Validation code: Captchapackage Image


Can't read the image? click here to refresh.
    *required field

Your bulk quote request has been submitted successfully!

Please contact us if you have any questions.