• Tel: 858.663.9055
  • SeparatorEmail: info@nsjbio.com
  • Tel: 858.663.9055
  • Email: info@nsjbio.com
Home >> Antibodies >> IRF1 Antibody / Interferon regulatory factor 1

IRF1 Antibody / Interferon regulatory factor 1 [clone DHE-9] (RQ5339)

  Catalog No Formulation Size Price (USD)  
Image RQ5339 Antibody in PBS with 0.02% sodium azide, 50% glycerol and 0.4-0.5mg/ml BSA 100 ul 439
Microvalidated Rab Mono Image
Bulk quote request
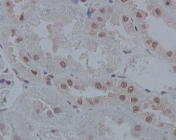
IHC staining of FFPE rat kidney tissue with IRF1 antibody. HIER: boil tissue sections in pH6, 10mM citrate buffer, for 10-20 min and allow to cool before testing.
Western blot testing of human Jurkat cell lysate with IRF1 antibody. Expected molecular weight: ~37 kDa (unmodified), 45-50 kDa (modified).
Western blot testing of human 1) HaCaT, 2) Raji, 3) K562 and 4) Daudi cell lysate with IRF1 antibody. Expected molecular weight: ~37 kDa (unmodified), 45-50 kDa (modified).
Western blot testing of 1) mouse heart, 2) mouse liver, 3) mouse skin and 4) rat skin tissue lysate with IRF1 antibody. Expected molecular weight: ~37 kDa (unmodified), 45-50 kDa (modified).
Immunofluorescent staining of FFPE human HeLa cells with IRF1 antibody (green) and DAPI nuclear stain (blue). HIER: steam section in pH6 citrate buffer for 20 min.
Availability 1-2 weeks
Species Reactivity Human, Rat
Format Purified
Clonality Rabbit Monoclonal
Isotype Rabbit IgG
Clone Name DHE-9
Purity Affinity purified
UniProt P10914
Localization Nuclear, cytoplasmic
Applications Western Blot : 1:500-1:1000
Immunohistochemistry (FFPE) : 1:50-1:100
Immunofluorescence : 1:50-1:100
Limitations This IRF1 antibody is available for research use only.
Review this product on BioCompare and get a $20 Amazon gift card

Related Products

  • Applications : WB, ELISA
    Reactivity : Human
    Pred. Reactivity : Rat
  • Applications : WB, ELISA
    Reactivity : Human
    Pred. Reactivity : Mouse, Rat, Bovine, Pig
  • Applications : WB, IHC-P, FACS, IF, Direct ELISA
    Reactivity : Human, Mouse

Description

The protein encoded by the IRF1 gene is a transcriptional regulator and tumor suppressor, serving as an activator of genes involved in both innate and acquired immune responses. The encoded protein activates the transcription of genes involved in the body's response to viruses and bacteria, playing a role in cell proliferation, apoptosis, the immune response, and DNA damage response. This protein represses the transcription of several other genes. As a tumor suppressor, it both suppresses tumor cell growth and stimulates an immune response against tumor cells. Defects in this gene have been associated with gastric cancer, myelogenous leukemia, and lung cancer. [RefSeq]

Application Notes

Optimal dilution of the IRF1 antibody should be determined by the researcher.

Immunogen

A synthetic peptide specific to human Interferon regulatory factor 1 was used as the immunogen for the IRF1 antibody.

Storage

Store the IRF1 antibody at -20oC.

Cross
Bulk Quote Request Form
Name*:
Organization*:
Email*:
Phone Number*:
Catalog No.*:
Comments and Specifics(amount, formulation, etc.)*:
Validation code: Captchapackage Image


Can't read the image? click here to refresh.
    *required field

Your bulk quote request has been submitted successfully!

Please contact us if you have any questions.