• Tel: 858.663.9055
  • SeparatorEmail: info@nsjbio.com
  • Tel: 858.663.9055
  • Email: info@nsjbio.com
Home >> Antibodies >> IRBIT Antibody / AHCYL1

IRBIT Antibody / AHCYL1 (RQ6710)

  Catalog No Formulation Size Price (USD)  
Image RQ6710 0.5mg/ml if reconstituted with 0.2ml sterile DI water 100 ug 439
Bulk quote request
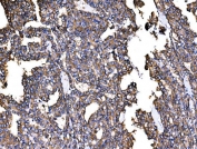
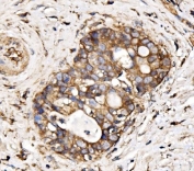
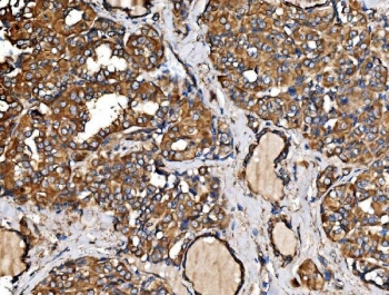
IHC staining of FFPE human thyroid papillary carcinoma tissue with IRBIT antibody. HIER: boil tissue sections in pH8 EDTA for 20 min and allow to cool before testing.
IHC staining of FFPE human laryngeal squamous cell carcinoma tissue with IRBIT antibody. HIER: boil tissue sections in pH8 EDTA for 20 min and allow to cool before testing.
IHC staining of FFPE human bladder adenosquamous carcinoma tissue with IRBIT antibody. HIER: boil tissue sections in pH8 EDTA for 20 min and allow to cool before testing.
IHC staining of FFPE human Hashimoto's thyroiditis tissue with IRBIT antibody. HIER: boil tissue sections in pH8 EDTA for 20 min and allow to cool before testing.
IHC staining of FFPE mouse brain tissue with IRBIT antibody. HIER: boil tissue sections in pH8 EDTA for 20 min and allow to cool before testing.
IHC staining of FFPE rat brain tissue with IRBIT antibody. HIER: boil tissue sections in pH8 EDTA for 20 min and allow to cool before testing.
Immunofluorescent staining of FFPE human A431 cells with IRBIT antibody (green) and DAPI nuclear stain (blue). HIER: steam section in pH6 citrate buffer for 20 min.
Western blot testing of 1) human HeLa, 2) human HEK293, 3) human HepG2, 4) human MCF7, 5) rat pancreas and 6) mouse pancreas tissue lysate with IRBIT antibody. Predicted molecular weight ~59 kDa.
Flow cytometry testing of human Caco-2 cells with IRBIT antibody at 1ug/million cells (blocked with goat sera); Red=cells alone, Green=isotype control, Blue= IRBIT antibody.
Flow cytometry testing of mouse HEPA1-6 cells with IRBIT antibody at 1ug/million cells (blocked with goat sera); Red=cells alone, Green=isotype control, Blue= IRBIT antibody.
Flow cytometry testing of rat RH35 cells with IRBIT antibody at 1ug/million cells (blocked with goat sera); Red=cells alone, Green=isotype control, Blue= IRBIT antibody.
Availability 1-3 business days
Species Reactivity Human, Mouse, Rat
Format Antigen affinity purified
Clonality Polyclonal (rabbit origin)
Isotype Rabbit IgG
Purity Antigen affinity purified
Buffer Lyophilized from 1X PBS with 2% Trehalose
UniProt O43865
Localization Cytoplasmic
Applications Western Blot : 1-2ug/ml
Immunohistochemistry (FFPE) : 2-5ug/ml
Immunofluorescence (FFPE) : 5ug/ml
Flow Cytometry : 1-3ug/million cells
Direct ELISA : 0.1-0.5ug/ml
Limitations This IRBIT antibody is available for research use only.
Review this product on BioCompare and get a $20 Amazon gift card

Related Products

Description

Putative adenosylhomocysteinase 2 is an enzyme that in humans is encoded by the AHCYL1 gene. The protein encoded by this gene interacts with inositol 1,4,5-trisphosphate receptor, type 1 and may be involved in the conversion of S-adenosyl-L-homocysteine to L-homocysteine and adenosine. Several transcript variants encoding two different isoforms have been found for this gene.

Application Notes

Optimal dilution of the IRBIT antibody should be determined by the researcher.

Immunogen

Recombinant human protein (amino acids E14-K57) was used as the immunogen for the IRBIT antibody.

Storage

After reconstitution, the IRBIT antibody can be stored for up to one month at 4oC. For long-term, aliquot and store at -20oC. Avoid repeated freezing and thawing.

Cross
Bulk Quote Request Form
Name*:
Organization*:
Email*:
Phone Number*:
Catalog No.*:
Comments and Specifics(amount, formulation, etc.)*:
Validation code: Captchapackage Image


Can't read the image? click here to refresh.
    *required field

Your bulk quote request has been submitted successfully!

Please contact us if you have any questions.