• Tel: 858.663.9055
  • SeparatorEmail: info@nsjbio.com
  • Tel: 858.663.9055
  • Email: info@nsjbio.com
Home >> Antibodies >> IQGAP2 Antibody / IQ motif containing GTPase activating protein 2

IQGAP2 Antibody / IQ motif containing GTPase activating protein 2 [clone 29I69] (FY13019)

  Catalog No Formulation Size Price (USD)  
Image FY13019 Rabbit IgG in phosphate buffered saline, pH 7.4, 150mM NaCl, 0.02% sodium azide and 50% glycerol, 0.4-0.5mg/ml BSA 100 ul 439
Microvalidated Recrabbitmono
Bulk quote request
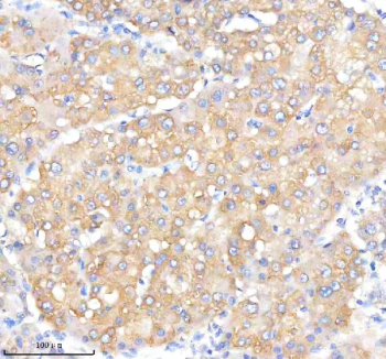
Immunohistochemical staining of IQGAP2 using anti-IQGAP2 antibody. IQGAP2 was detected in a paraffin-embedded section of human liver cancer tissue. Heat mediated antigen retrieval was performed in EDTA buffer (pH 8.0, epitope retrieval solution). The tissue section was blocked with 10% goat serum. The tissue section was then incubated with 1:50 rabbit anti-IQGAP2 antibody overnight at 4oC. Peroxidase Conjugated Goat Anti-rabbit IgG was used as secondary antibody and incubated for 30 minutes at 37oC. The tissue section was developed using an HRP secondary and DAB substrate.
Western blot analysis of IQGAP2 using anti-IQGAP2 antibody. Lane 1: human HepG2 whole cell lysates, Lane 2: human Caco-2 whole cell lysates, Lane 3: mouse stomach tissue lysates, Lane 4: mouse brain tissue lysates. After electrophoresis, proteins were transferred to a nitrocellulose membrane at 150 mA for 50-90 minutes. Blocked the membrane with 5% non-fat milk/TBS for 1.5 hour at RT. The membrane was incubated with rabbit anti-IQGAP2 antibody at 1:500 overnight at 4oC, then washed with TBS-0.1%Tween 3 times with 5 minutes each and probed with a goat anti-rabbit IgG-HRP secondary antibody at a dilution of 1:500 for 1.5 hour at RT. The signal was developed using enhanced chemiluminescent. A specific band was detected for IQGAP2 at approximately 181 kDa. The expected molecular weight of IQGAP2 is ~181 kDa.
Availability 2-3 weeks
Species Reactivity Human, Mouse
Format Liquid
Clonality Recombinant Rabbit Monoclonal
Isotype Rabbit IgG
Clone Name 29I69
Purity Affinity-chromatography
Buffer Rabbit IgG in phosphate buffered saline, pH 7.4, 150mM NaCl, 0.02% sodium azide and 50% glycerol, 0.4-0.5mg/ml BSA.
UniProt Q13576
Localization Cytoplasm
Applications Western Blot : 1:500-1:2000
Immunohistochemistry : 1:50-1:200
Limitations This IQGAP2 antibody is available for research use only.
Review this product on BioCompare and get a $20 Amazon gift card

Related Products

Description

IQGAP2 antibody detects IQ motif containing GTPase activating protein 2, encoded by the IQGAP2 gene. IQ motif containing GTPase activating protein 2 belongs to the IQGAP family of scaffolding proteins that interact with Rho family GTPases, actin filaments, and signaling molecules. It plays an important role in cytoskeletal organization, cell adhesion, and intracellular signaling. IQGAP2 antibody provides researchers with a means to study its contribution to cytoskeletal regulation, liver physiology, and cancer biology.

Unlike its homolog IQGAP1, which promotes oncogenic signaling, IQGAP2 functions primarily as a tumor suppressor. Research with IQGAP2 antibody has shown that loss of IQGAP2 expression is frequent in hepatocellular carcinoma and gastric cancer, where it contributes to uncontrolled proliferation and reduced cell adhesion. By interacting with Rho family GTPases, IQGAP2 regulates actin dynamics and stabilizes adherens junctions, helping maintain epithelial integrity. Loss of this regulation increases motility and invasion, linking IQGAP2 deficiency to metastatic progression.

IQGAP2 is also important in liver biology. Studies using IQGAP2 antibody have demonstrated that knockout mice develop spontaneous hepatocellular carcinoma, confirming its tumor suppressor role. In normal liver tissue, IQGAP2 interacts with beta catenin and other signaling molecules to regulate hepatocyte growth and polarity. Dysregulation of this protein contributes to abnormal signaling through pathways such as Wnt and PI3K AKT, reinforcing its significance in liver disease and cancer.

Beyond the liver, IQGAP2 contributes to immune regulation and cytoskeletal remodeling in other tissues. It has been implicated in platelet activation, immune synapse formation, and gastric mucosal stability. Research with IQGAP2 antibody continues to expand understanding of its roles in diverse systems. Importantly, reduced expression of IQGAP2 in tumors is associated with poor prognosis, making it a potential biomarker for patient stratification.

IQGAP2 antibody is applied in western blotting, immunohistochemistry, and immunofluorescence. Western blotting detects expression in liver and epithelial cell lines, while immunohistochemistry highlights its localization at cell junctions in tissues. Immunofluorescence reveals its colocalization with actin and signaling molecules, providing insights into cytoskeletal regulation. These methods ensure that IQGAP2 antibody is valuable for both fundamental and translational research.

By providing validated IQGAP2 antibody reagents, NSJ Bioreagents supports research into tumor suppression, cytoskeletal regulation, and liver cancer. Detection of IQ motif containing GTPase activating protein 2 helps researchers explore how scaffold proteins integrate signaling and structural networks in health and disease.

Application Notes

Optimal dilution of the IQGAP2 antibody should be determined by the researcher.

Immunogen

A synthesized peptide derived from human IQGAP2 was used as the immunogen for the IQGAP2 antibody.

Storage

Store the IQGAP2 antibody at -20oC.

Cross
Bulk Quote Request Form
Name*:
Organization*:
Email*:
Phone Number*:
Catalog No.*:
Comments and Specifics(amount, formulation, etc.)*:
Validation code: Captchapackage Image


Can't read the image? click here to refresh.
    *required field

Your bulk quote request has been submitted successfully!

Please contact us if you have any questions.