• Tel: 858.663.9055
  • SeparatorEmail: info@nsjbio.com
  • Tel: 858.663.9055
  • Email: info@nsjbio.com
Home >> Antibodies >> IP10 Antibody / CXCL10

IP10 Antibody / CXCL10 (R31987)

  Catalog No Formulation Size Price (USD)  
Image R31987 0.5mg/ml if reconstituted with 0.2ml sterile DI water 100 ug 439
Bulk quote request
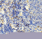
IHC staining of FFPE mouse spleen tissue with IP10 antibody. HIER: boil tissue sections in pH8 EDTA for 20 min and allow to cool before testing.
Western blot testing of 10ng of recombinant mouse protein with IP10 antibody. Expected molecular weight ~11 kDa.
IHC staining of FFPE rat spleen tissue with IP10 antibody. HIER: boil tissue sections in pH8 EDTA for 20 min and allow to cool before testing.
Availability 1-3 business days
Species Reactivity Mouse, Rat
Format Antigen affinity purified
Clonality Polyclonal (rabbit origin)
Isotype Rabbit IgG
Purity Antigen affinity
Buffer Lyophilized from 1X PBS with 2% Trehalose
UniProt P17515
Applications Western Blot : 0.5-1ug/ml
Immunohistochemistry (FFPE) : 2-5ug/ml
ELISA : 0.1-0.5ug/ml (mouse protein tested); request BSA-free format for coating
Limitations This IP10 antibody is available for research use only.
Review this product on BioCompare and get a $20 Amazon gift card

Related Products

Description

C-X-C motif chemokine 10 (CXCL10), also known as Interferon gamma-induced protein 10kDa (IP-10) or small-inducible cytokine B10, is a protein that in humans is encoded by the CXCL10 gene. It is a small cytokine belonging to the CXC chemokine family. The gene for CXCL10 is located on human chromosome 4 in a cluster among several other CXC chemokines. Luster et al. (1987) reported the isolation of an interferon-inducible gene that encodes a 98-amino acid protein called IP10. The chemokine IFN-gamma-inducible protein 10 (IP-10; CXCL10), a CXC chemokine, and its receptor, CXCR3, were found to be overexpressed in lymph node cells of EAMG rats. IP10 inhibits bone marrow colony formation, has antitumor activity in vivo, is a chemoattractant for human monocytes and T cells, and promotes T cell adhesion to endothelial cells.

Application Notes

Optimal dilution of the IP10 antibody should be determined by the researcher.

Immunogen

Amino acids 22-98 of mouse IP10 were used as the immunogen for the IP10 antibody.

Storage

After reconstitution, the IP10 antibody can be stored for up to one month at 4oC. For long-term, aliquot and store at -20oC. Avoid repeated freezing and thawing.

Cross
Bulk Quote Request Form
Name*:
Organization*:
Email*:
Phone Number*:
Catalog No.*:
Comments and Specifics(amount, formulation, etc.)*:
Validation code: Captchapackage Image


Can't read the image? click here to refresh.
    *required field

Your bulk quote request has been submitted successfully!

Please contact us if you have any questions.